Huyết khối là quá trình tập trung máu đến các mạch máu bị rách và làm ngừng chảy máu khi bạn bị thương. Tại vùng đó sẽ tấy đỏ, đau, sưng và có thể ấm. Vậy làm thế nào để điều trị và phòng ngừa huyết khối hiệu quả? Tham khảo bài viết dưới đây để hiểu rõ hơn nhé!
Xét nghiệm khí máu động mạch (ABG) có mục đích là để đo nồng độ oxi và C02 trong máu ở động mạch. Xét nghiệm này được dùng để xem khả năng đưa khí oxi vào trong máu và thải C02 ra ngoài máu của phổi. Vậy để thực hiện xét nghiệm này cần lưu ý những gì? Tham khảo bài viết dưới đây để hiểu rõ hơn nhé!
Xét nghiệm khoảng trống Anion giúp xác định được nguyên nhân bạn bị nhiễm toan chuyển hóa ví dụ như do sự tích tụ của acid lactic hay do sự tích tụ của các ceton trong máu và xét nghiệm cũng cho biết lượng bicarbonate để trung hòa chúng và duy trì pH trong máu. Vậy xét nghiệm này được thực hiện như thế nào và cần lưu ý những gì? Tham khảo bài viết dưới đây để hiểu rõ hơn nhé!
Khủng hoảng hồng cầu lưỡi liềm là tình trạng khi bệnh hồng cầu lưỡi liềm khiến người bệnh đau âm ỉ, mạnh và nhói. Vậy nguyên nhân nào dẫn đến tình trạng này? Cách điều trị nào là hiệu quả? Mời các bạn tham khảo bài viết dưới đây để hiểu rõ hơn nhé!
Methemoglobin huyết là một rối loạn máu trong đó lượng oxy được chuyển đến các tế bào rất ít. Nếu cơ thể sản xuất quá nhiều methemoglobin, nó có thể bắt đầu thay thế hemoglobin bình thường. Điều này có thể gây ra tình trạng không đủ oxy cho các tế bào. Vậy bệnh lý này có nguy hiểm không và cách chữa trị nào là hiệu quả? Tham khảo ngay bài viết dưới đây để hiểu rõ hơn nhé!
Bệnh bạch cầu hay bệnh máu trắng là ung thư các mô tạo máu của cơ thể, bao gồm tủy xương và hệ bạch huyết. Đây là một dạng ung thư máu. Hãy cùng eLib tìm hiểu kĩ hơn về triệu chứng, nguyên nhân và cách điều trị của căn bệnh này nhé!
Hãy cùng eLib tìm hiểu về nguyên nhân, triệu chứng, chuẩn đoán và điều trị của bệnh Babesia, một căn bệnh về ký sinh trùng sẽ xâm nhập và ký sinh ở trong hồng cầu của người. Mời các bạn cùng tham khảo!
Xét nghiệm này thường được sử dụng phối hợp với các xét nghiệm khác để xem thử thai nhi có bị dị dạng hay bất thường gì không trong quá trình bà mẹ đang mang thai không. Để hiểu rõ hơn về thủ thuật này, mời các bạn tham khảo bài viết dưới đây.
Xét nghiệm xác định HLA là xét nghiệm máu nhằm xác định hợp chất gọi là kháng nguyên trên bề mặt tế bào và mô cơ thể (HLA). Kiểm tra kháng nguyên này có thể xác định xem liệu mô của người hiến là an toàn (tương thích) để cấy sang người khác hay không. Để hiểu rõ hơn về thủ thuật này, mời các bạn tham khảo bài viết dưới đây.
Hội chứng Von Willebrand là một tình trạng xảy ra khi máu không đông, những người bị bệnh này là bẩm sinh và do di truyền. Để hiểu rõ hơn về bệnh lý này, mời các bạn tham khảo bài viết dưới đây.
Nhiễm axit methylmalonic trong máu là một bệnh di truyền làm cho cơ thể không xử lý được một số protein và chất béo nhất định, kết quả dẫn đến tích tụ axit methylmalonic trong máu. Cùng eLib.VN tìm hiểu bài viết dưới đây để hiểu rõ hơn về bệnh lý này nhé!
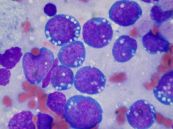
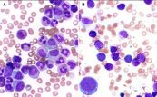
Bệnh bạch cầu (hay còn gọi là bệnh ung thư máu) là tình trạng các tế bào bạch cầu tăng đột biến gây ảnh hưởng đến các tế bào xung quanh. Bệnh bạch cầu dòng tủy chỉ sự phát tri bạch cầu phân chia nhanh hơn của các tế bào máu, chẳng hạn như hồng cầu và bạch cầu, trong tủy xương. Cùng eLib.VN tìm hiểu bài viết dưới đây để hiểu rõ hơn về bệnh lý này nhé!
Bệnh bạch cầu (hay còn gọi là bệnh ung thư máu) là tình trạng các tế bào bạch cầu tăng đột biến gây ảnh hưởng đến các tế bào xung quanh. Bệnh bạch cầu dòng tủy chỉ sự phát triển bất thường và phân chia nhanh hơn của các tế bào máu, chẳng hạn như hồng cầu và bạch cầu, trong tủy xương. Cùng eLib.VN tìm hiểu bài viết dưới đây để hiểu rõ hơn về bệnh lý này nhé!
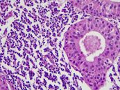
Ung thư lá lách là tình trạng lá lách phát triển tế bào ung thư. Đa số trường hợp, ung thư ở lá lách là lymphoma, một loại ung thư ảnh hưởng đến hệ bạch huyết. Cùng eLib.VN tìm hiểu bài viết dưới đây để hiểu rõ hơn về bệnh lý này nhé!
Ung thư di căn diễn tả tình trạng khối u ác tính từ một vị trí ban đầu bắt đầu lan đến các bộ phận khác trong cơ thể như gan, phổi, não, ... Với nhiều loại ung thư, tình trạng này còn được gọi là ung thư tiến triển hay ung thư giai đoạn 4. Để hiểu rõ hơn về bệnh lý này, mời các bạn tham khảo bài viết dưới đây nhé!
Bệnh Lympho không Hodgkin là tình trạng khối u phát triển từ các tế bào bạch cầu lympho. Vậy bệnh lý này có những triều chứng gì? Cách điều trị và chẩn đoán nào là hiệu quả? Tham khảo ngay bài viết dưới đây để hiểu rõ hơn nhé!
Bệnh lymphôm Burkitt là một dạng của ung thư hạch bạch huyết không Hodgkin mà ung thư bắt nguồn từ các tế bào miễn dịch gọi là các tế bào B. Vậy bệnh lý này có những triệu chứng gì? Cách điều trị bệnh như thế nào? Tham khảo ngay bài viết dưới đây để hiểu rõ hơn nhé!
Bệnh Lymphoma là một loại ung thư ở hệ bạch huyết, một phần của hệ miễn dịch cơ thể. Việc điều trị tùy thuộc vào loại u và mức độ nghiêm trọng của nó. Dưới đây là bài viết chi tiết về bệnh lý này, mời các bạn tham khảo!
Mỡ (lipid) máu cao, còn gọi là máu nhiễm mỡ, là một rối loạn chuyển hóa mỡ trong cơ thể làm cho nồng độ mỡ trong máu quá cao, từ đó có thể gây ra bệnh tim, bệnh tiểu đường và béo phì. Dưới đây là bài viết chi tiết về bệnh, mời các bạn tham khảo!
Mỡ trong máu hay còn gọi là máu nhiễm mỡ chỉ tình trạng rối loạn chuyển đổi chất béo trong cơ thể, làm cho lượng chất béo trong máu quá cao. Vậy bệnh mỡ trong máu có nguy hiểm không? Bệnh được điều trị bằng cách nào? Tham khảo bài viết dưới đây để hiểu rõ hơn nhé!