Thiếu máu Fanconi là một rối loạn di truyền dẫn đến kết cục suy tủy xương. Tủy xương có trách nhiệm sản xuất ba loại tế bào máu khác nhau trong cơ thể. Chúng bao gồm các tế bào hồng cầu mang ô-xy đến các mô và các cơ quan, tế bào máu trắng chống lại nhiễm trùng và tiểu cầu thúc đẩy quá trình đông máu giúp cầm máu. Để hiểu rõ hơn về bệnh lý này, mời các bạn tham khảo bài viết dưới đây.
Bệnh thiếu máu do thiếu vitamin B12 và folat nghĩa là cơ thể không đủ vitamin này, khiến cho nguyên bào hồng cầu chết đi. Nói cách khác, khi không có đủ B12, cơ thể sẽ thiếu máu do không tạo ra đủ hồng cầu. Để hiểu rõ hơn về bệnh lý này, mời các bạn tham khảo bài viết dưới đây.
Thiếu máu do thiếu vitamin là bệnh gây ra do thiếu một số vitamin cần thiết hoặc chất được sử dụng để sản xuất các tế bào hồng cầu khỏe mạnh. Vitamin B6, vitamin B12, folate (hay vitamin B9) và vitamin C đều có một chức năng quan trọng là tạo ra các tế bào máu hồng cầu cần thiết cho việc cung cấp oxy đến các tế bào khắp cơ thể. Để hiểu rõ hơn về bệnh lý này, mời các bạn tham khảo bài viết dưới đây.
Thiếu máu do thiếu sắt, hay còn gọi là thiếu máu thiếu sắt, là một dạng phổ biến của bệnh thiếu máu. Bệnh xảy ra khi cơ thể không có đủ chất sắt lượng cung cấp hồng cầu cần thiết cho cơ thể. Hồng cầu là các tế bào trong máu giúp mang oxy đến các mô của cơ thể. Để hiểu rõ hơn về bệnh lý này, mời các bạn tham khảo bài viết dưới đây.
Thiếu máu do thiếu men G6PD là một rối loạn trao đổi chất di truyền liên quan đến giới tính. Triệu chứng của bệnh như nhịp tim nhanh, khó thở, sốt, v.v. Để hiểu rõ hơn về bệnh lý này, mời các bạn tham khảo bài viết dưới đây.
Thiếu máu do thiếu folate là tình trạng thiếu axit folic trong máu. Axit folic là một loại vitamin B giúp cơ thể tạo ra các tế bào hồng cầu. Nếu không có đủ các tế bào hồng cầu, bạn sẽ bị thiếu máu. Để hiểu rõ hơn về bệnh lý này, mời các bạn tham khảo bài viết dưới đây.
Bệnh thiếu máu Diamond-Blackfan là loại thiếu máu gây ra khi tủy xương không sản xuất đủ các tế bào hồng cầu để đáp ứng nhu cầu của cơ thể. Để hiểu rõ hơn về bệnh lý này, mời các bạn tham khảo bài viết dưới đây.
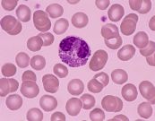
Thiếu máu bất sản là hiện tượng thiếu máu do rối loạn chức năng tủy xương. Tủy xương là mô mềm trong xương có nhiệm vụ sản sinh tế bào máu bao gồm: hồng cầu, bạch cầu và tiểu cầu. Khi bị thiếu máu bất sản, tủy không thể tạo thêm tế bào máu, gây thiếu máu. Để hiểu rõ hơn về bệnh lý này, mời các bạn tham khảo bài viết dưới đây!
Sốc nhiễm trùng là tình trạng y tế nghiêm trọng xảy ra khi tình trạng nhiễm trùng trong cơ thể dẫn đến huyết áp hạ thấp đến mức nguy hiểm. Cùng eLib.VN tìm hiểu bài viết sau đây để biết rõ hơn.
Thalassemia là một rối loạn về máu mà cơ thể tạo ra một dạng hemoglobin bất thường, một loại phân tử protein trong hồng cầu vận chuyển oxy. Rối loạn này là kết quả của sự phá hủy quá mức các tế bào hồng cầu, dẫn đến thiếu máu, một tình trạng trong đó cơ thể bạn không có đủ tế bào hồng cầu khỏe mạnh bình thường. Để hiểu rõ hơn về bệnh lý này, mời các bạn tham khảo bài viết dưới đây!
Rối loạn chảy máu là một tình trạng ảnh hưởng đến việc máu đông lại bình thường. Quá trình đông máu làm thay đổi máu từ chất lỏng thành chất rắn. Khi bị thương, máu thường bắt đầu đông lại để ngăn chặn sự mất máu lớn. Đôi khi, một số tình trạng làm cản trở quá trình máu đông đúng cách, có thể dẫn đến chảy máu nặng hoặc kéo dài. Để hiểu rõ hơn về bệnh lý này, mời các bạn tham khảo bài viết dưới đây!
Thiếu hụt yếu tố V còn được gọi là bệnh Owren hay bệnh ưa chảy máu. Đó là một rối loạn chảy máu hiếm gặp dẫn đến khả năng đông máu kém sau một chấn thương hoặc phẫu thuật. Thiếu hụt yếu tố V không nên nhầm lẫn với đột biến yếu tố V Leiden, một tình trạng gây đông máu quá mức phổ biến hơn nhiều. Để hiểu rõ hơn về bệnh lý này, mời các bạn tham khảo bài viết dưới đây!
Thiếu máu là tình trạng xảy ra khi số lượng tế bào hồng cầu thấp (RBCs) hơn bình thường. Thiếu máu ác tính là một trong những loại thiếu máu thiếu hụt vitamin B12, nguyên nhân do cơ thể không có khả năng hấp thụ vitamin B12 cần thiết để tạo ra đủ các tế bào hồng cầu khỏe mạnh. Để hiểu rõ hơn về bệnh lý này, mời các bạn tham khảo bài viết dưới đây!
Sốc giảm thể tích, hay còn gọi là sốc xuất huyết, là tình trạng cơ thể bị mất hơn 20% máu hoặc chất dịch. Loại sốc này có thể đe dọa tính mạng, do mất nước nghiêm trọng làm cho tim không bơm đủ máu đến các bộ phận cơ thể, kết quả là, sốc giảm thể tích có thể dẫn đến suy cơ quan. Do đó, tình trạng này đòi hỏi phải chăm sóc y tế khẩn cấp ngay lập tức. Để hiểu rõ hơn về bệnh lý này, mời các bạn tham khảo bài viết dưới đây!
Bệnh sùi V.A (viêm V.A) là một tình trạng viêm V.A do nhiễm trùng. V.A là một khối mô bạch huyết giúp cơ thể chống lại nhiễm trùng. Để hiểu rõ hơn về bệnh lý này, mời các bạn tham khảo bài viết dưới đây!
Sưng hạch bạch huyết có thể là dấu hiệu của tình trạng nhiễm trùng hoặc cảnh cho các vấn đề sức khỏe khác đang diễn ra bên trong cơ thể. Để hiểu rõ hơn về bệnh lý này, mời các bạn tham khảo bài viết dưới đây!
Suy nhược tiểu cầu là một dạng rối loạn chảy máu bẩm sinh. Mặt dù hiếm gặp nhưng bệnh có thể dẫn đến nhiều biến chứng, bao gồm cả tử vong. Thông thường, suy nhược tiểu cầu xuất phát từ vấn đề thiếu hụt glycoprotein IIb/IIIa (GPIIb/IIIa), một loại protein tìm thấy trên bề mặt tiểu cầu. Cùng eLib.VN tìm hiểu bài viết dưới đây để hiểu rõ hơn về bệnh lý này nhé!
Có nhiều nguyên nhân gây tăng axit uric máu. Đối với nhóm nguyên nhân tăng axit uric máu mãn tính hay bệnh gút, có những thuốc đặc trị giúp thải axit uric và duy trì tình trạng cân bằng, hạn chế cơn đau khớp do gút cấp. Còn các nguyên nhân gây tăng axit uric thứ phát khác, điều trị giảm axit uric là điều trị nguyên nhân gây bệnh, các phương thuốc làm giảm axit uric chỉ là điều trị hỗ trợ. Cùng eLib.VN tìm hiểu bài viết dưới đây để hiểu rõ hơn về bệnh lý này nhé!
Tăng bạch cầu ái toan có thể là dấu hiệu cảnh báo về một số tình trạng sức khỏe như nhiễm ký sinh trùng, dị ứng hay thậm chí là ung thư. Để biết rõ hơn về bệnh lý này, mời các bạn tham khảo bài viết dưới đây.
Tăng canxi máu là tình trạng nồng độ canxi trong huyết thanh cao hơn mức bình thường, làm suy yếu xương, sỏi thận, ảnh hưởng tim và não bộ. Bệnh thường do tuyến cận giáp (nằm phía sau tuyến giáp) hoạt động quá mức. Các nguyên nhân khác gây ra tình trạng này bao gồm ung thư, một số rối loạn trong cơ thể, một số loại thuốc hoặc uống quá nhiều canxi và vitamin D. Cùng eLib.VN tìm hiểu bài viết dưới đây để hiểu rõ hơn về bệnh lý này nhé!