Thời gian ruột vận chuyển phụ thuộc vào loại thực phẩm ăn và uống, ăn nhiều trái cây, rau và ngũ cốc có xu hướng có thời gian ngắn hơn so với những người ăn chủ yếu là đường và tinh bột. Dưới đây là một số thông tin chi tiết về thủ thuật, mời các bạn tham khảo!
Sinh thiết vú kiểm tra xem một khối u vú hoặc khu vực đáng ngờ nhìn thấy trên nhũ ảnh là ung thư ác tính hoặc không ung thư lành tính. Để hiểu rõ hơn về thủ thuật này, mời các bạn tham khảo bài viết dưới đây!
Nội soi phế quản có thể được thực hiện để chẩn đoán các vấn đề với đường thở, phổi hoặc với các hạch bạch huyết trong ngực hoặc để điều trị các vấn đề như vật thể hoặc sự phát triển bất thường trong đường thở. Dưới đây là thông tin chi tiết về thủ thuật, mời các bạn tham khảo!
Kiểm tra áp lực bàng quang và Bonney có thể được thực hiện như một phần của kiểm tra thể chất khi tiết ra nước tiểu khi hắt hơi, cười, ho hoặc tập thể dục. Cùng eLip tham khảo bài viết dưới đây để hiểu rõ hơn về thủ thuật này nhé!
Xét nghiệm C-peptide có thể giúp tìm ra nguyên nhân gây ra lượng đường trong máu thấp (hạ đường huyết), chẳng hạn như sử dụng quá nhiều thuốc để điều trị bệnh tiểu đường hoặc tăng trưởng không ung thư (khối u) trong tuyến tụy (insulinoma). Để hiểu rõ hơn về thủ thuật này, mời các bạn tham khảo bài viết dưới đây!
Đặt ống thông tim là một thủ thuật để kiểm tra tim. Thủ thuật này sử dụng một ống nhỏ, linh hoạt gọi là ống thông được đưa vào tim thông qua các mạch máu. Thủ thuật này có thể bao gồm chụp động mạch vành, kiểm tra các động mạch vành. Dưới đây là thông tin chi tiết về thủ thuật, mời các bạn tham khảo!
Xạ hình tưới máu tim đo lượng máu trong cơ tim khi nghỉ ngơi và trong khi gắng sức. Nó thường được thực hiện để tìm hiểu những gì có thể gây ra các triệu chứng như đau thắt ngực (chẳng hạn như đau ngực hoặc áp lực). Để hiểu rõ hơn về thủ thuật này, mời các bạn tham khảo bài viết dưới đây nhé!
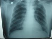
X-quang ngực được thực hiện để giúp tìm ra nguyên nhân của các triệu chứng phổ biến như ho, khó thở hoặc đau ngực, các vấn đề về phổi như viêm phổi, ung thư phổi, bệnh phổi tắc nghẽn mạn tính (COPD),... Dưới đây là một số thông tin chi tiết về thủ thuật, mời các bạn tham khảo!
Xét nghiệm karyotype hay lập bộ nhiễm sắc thể là một xét nghiệm để xác định và đánh giá kích thước, hình dạng và số lượng nhiễm sắc thể trong một mẫu tế bào cơ thể. Để hiểu rõ hơn về phương pháp xét nghệm này, mời các bạn tham khảo bài viết dưới đây!
Lấy mẫu lông nhung màng đệm có thể tìm thấy nhiều rối loạn di truyền, chẳng hạn như bệnh Tay-Sachs và bệnh máu khó đông. Nó cũng có thể tìm thấy khiếm khuyết nhiễm sắc thể, chẳng hạn như hội chứng Down. Tham khảo bài viết dưới đây để hiểu rõ hơn về phương pháp này nhé!
Khám lâm sàng vú (CBE) là kiểm tra thể chất vú được thực hiện bởi một chuyên gia y tế. Khám lâm sàng vú được sử dụng cùng với chụp quang tuyến vú để kiểm tra phụ nữ bị ung thư vú hoặc cũng được sử dụng để kiểm tra các vấn đề về vú khác. Dưới đây là thông tin chi tiết về phương pháp này, mời các bạn tham khảo!
Nội soi đại tràng được thực hiện giúp tìm vết loét, polyp đại tràng, khối u và các khu vực viêm hoặc chảy máu. Trong khi nội soi, các mẫu mô có thể được thu thập (sinh thiết) và điểm tăng trưởng bất thường có thể được lấy ra. Dưới đây là thông tin chi tiết về thủ thuật này, mời các bạn tham khảo!
Soi cổ tử cung là một cách để bác sĩ sử dụng một thiết bị phóng đại đặc biệt để xem xét âm hộ, âm đạo và cổ tử cung. Nếu bác sĩ nhìn thấy một vấn đề, có thể lấy một mẫu mô nhỏ (sinh thiết) từ cổ tử cung hoặc từ bên trong lỗ mở của cổ tử cung. Mẫu được xem dưới kính hiển vi. Dưới đây là thông tin chi tiết về phương pháp này, mời các bạn tham khảo!
Chụp cắt lớp vi tính (CT angiogram) là một thủ thuật sử dụng tia X để cung cấp hình ảnh chi tiết về tim và các mạch máu đi đến tim, phổi, não, thận, đầu, cổ, chân và cánh tay. Bài viết này sẽ nói rõ hơn về thủ thuật Chụp cắt lớp vi tính (CT Angiogram) hệ tim mạch, mời các bạn tham khảo!
Chụp CT có thể được sử dụng để nghiên cứu tất cả các bộ phận của cơ thể, chẳng hạn như ngực, bụng, xương chậu hoặc cánh tay hoặc chân. Để hiểu rõ hơn về thủ thuật này, mời các bạn tham khảo bài viết dưới đây!
Chụp CT đầu được thực hiện để tìm nguyên nhân của các triệu chứng, chẳng hạn như nhầm lẫn, tê liệt, các vấn đề về thị lực, chóng mặt hoặc đau đầu, có thể có nghĩa là chấn thương não, khối u não, phình động mạch vỡ hoặc chảy máu bên trong đầu và một số chỉ định khác. Cùng eLip tìm hiểu bài viết dưới đây để hiểu rõ hơn nhé!
Chụp CT cột sống được thực hiện để tìm các vấn đề của cột sống, chẳng hạn như khối u, gãy xương, dị dạng, nhiễm trùng hoặc hẹp ống sống (hẹp cột sống), tìm đĩa đệm cột sống thoát vị và một số chỉ định liên quan khác. Để hiểu rõ hơn về phương pháp này, mời các bạn tham khảo bài viết dưới đây!
Một bài kiểm tra căng thẳng co thắt kiểm tra xem liệu em bé sẽ khỏe mạnh trong các cơn co thắt khi chuyển dạ. Thủ thuật này bao gồm theo dõi tim thai bên ngoài. Thủ thuật được thực hiện khi mang thai 34 tuần trở lên. Dưới đây là thông tin chi tiết về thủ thuật này, mời các bạn tham khảo!
Quét canxi mạch vành sử dụng thủ thuật X-quang đặc biệt gọi là chụp cắt lớp vi tính (CT) để kiểm tra sự tích tụ canxi trong mảng bám trên thành động mạch của tim (động mạch vành). Quét canxi mạch vành còn được gọi là điểm canxi tim. Dưới đây là thông tin chi tiết về thủ thuật này, mời các bạn tham khảo!
Siêu âm sọ được thực hiện trên trẻ sơ sinh trước khi xương sọ hợp nhất cùng nhau, hoặc nó có thể được thực hiện trên người lớn sau khi hộp sọ đã được mở bằng phẫu thuật. Bài viết dưới đây sẽ nói rõ hơn về thủ thuật này, mời các bạn tham khảo!