Chụp thận ngược dòng sử dụng thuốc nhuộm để tìm hiểu xem sỏi thận hay thứ gì khác đang chặn đường tiết niệu. Để hiểu rõ hơn về thủ thuật này, mời các bạn tham khảo bài viết dưới đây!
Tự kiểm tra mảng bám răng được thực hiện bằng cách sử dụng một chất nhuộm các mảng bám trên răng. Mảng bám răng là một màng dính vi khuẩn bám vào răng, khoảng trống giữa răng và dưới nướu. Nó có thể cứng thành cao răng. Để biết rõ hơn, mời các bạn tham khảo bài viết dưới đây nhé!
Đo hấp thu iốt phóng xạ (RAIU) sử dụng chất đánh dấu phóng xạ và đầu dò đặc biệt để đo xem tuyến giáp hấp thụ bao nhiêu chất hấp thụ từ máu. Xét nghiệm có thể cho thấy mức độ hấp thu của tuyến giáp. Để hiểu rõ hơn về thủ thuật này, mời các bạn tham khảo bài viết dưới đây!
Kiểm tra nhịp tim bằng cách đếm nhịp đập trong một khoảng thời gian đã đặt và nhân số đó để có được số nhịp mỗi phút. Mạch thay đổi từ phút này sang phút khác. Nó sẽ nhanh hơn khi tập thể dục, bị sốt hoặc bị căng thẳng. Nó sẽ chậm hơn khi đang nghỉ ngơi. Để hiểu rõ hơn về thủ thuật này, mời các bạn tham khảo bài viết dưới đây!
Chụp tủy có thể được thực hiện để tìm khối u, nhiễm trùng, các vấn đề với cột sống như thoát vị đĩa đệm hoặc hẹp ống sống do viêm khớp. Để hiểu rõ hơn về thủ thuật này, mời các bạn tham khảo bài viết dưới đây!
Đối với thủ thuật này, khoang xoang bị chọc bằng kim và lấy mẫu bệnh phẩm xoang. Nuôi cấy thường được thực hiện trên mẫu để xác định vi khuẩn, vi rút, hoặc nấm gây ra nhiễm trùng và để xác định thuốc sẽ có hiệu quả nhất trong điều trị nó. Tham khảo thêm một số thông tin dưới đây để hiểu rõ hơn về thủ thuật này nhé!
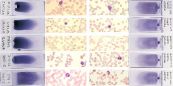
Xét nghiệm Pap, còn được gọi là xét nghiệm Papanicolaou hoặc pap smear, là xét nghiệm được sử dụng để xác định xem có các tế bào bất thường trong cổ tử cung hay không. Nếu các tế bào bất thường được tìm thấy, các bước có thể được thực hiện để cố gắng ngăn chúng phát triển thành ung thư cổ tử cung. Để hiểu rõ hơn về thủ thuật này, mời các bạn tham khảo bài viết dưới đây!
Xét nghiệm da tuberculin (còn được gọi là xét nghiệm tuberculin Mantoux) được thực hiện để xem đã từng tiếp xúc với bệnh lao (TB) chưa. Xét nghiệm được thực hiện bằng cách đặt một lượng nhỏ protein TB (kháng nguyên) dưới lớp da trên cùng vào cẳng tay bên trong. Để hiểu rõ hơn về thủ thuật này, mời các bạn tham khảo bài viết dưới đây!
Nội soi trung thất là thủ thuật để nhìn vào bên trong của ngực trên giữa và trước phổi. Khu vực này được gọi là trung thất. Cùng eLip tìm hiểu bài viết dưới đây để hiểu rõ hơn về thủ thuật này nhé!
Chụp cộng hưởng từ vai là thủ thuật được thực hiện với một máy sử dụng từ trường và các xung năng lượng sóng vô tuyến để tạo ra hình ảnh của vai. Cơ bắp, dây chằng, sụn và các cấu trúc khớp khác được nhìn thấy rõ nhất với MRI. Để hiểu rõ hơn về thủ thuật này, mời các bạn tham khảo bài viết dưới đây!
Ung thư vú là loại ung thư phổ biến nhất ở phụ nữ ở British Columbia. Ung thư vú cũng có thể xảy ra ở nam giới, nhưng nó không phải là phổ biến. Chụp X quang tuyến vú là chụp X-quang vú được sử dụng để sàng lọc ung thư vú. Chụp X quang tuyến vú có thể tìm thấy khối u quá nhỏ để bác sĩ cảm nhận. Để hiểu rõ hơn về thủ thuật này, mời các bạn tham khảo bài viết dưới đây!
Chụp cộng hưởng từ (MRI) vú sử dụng từ trường và các xung sóng vô tuyến để tạo ra hình ảnh của vú. Nó không sử dụng tia X. MRI có thể cho thấy các vấn đề ở vú không thể nhìn thấy trên nhũ ảnh, siêu âm hoặc CT scan. Để hiểu rõ hơn về thủ thuật này, mời các bạn tham khảo bài viết dưới đây!
Chụp cộng hưởng từ (MRI) đầu là một thủ thuật sử dụng từ trường và các xung năng lượng sóng vô tuyến để chụp ảnh đầu. Trong nhiều trường hợp, MRI cung cấp thông tin không thể nhìn thấy khi chụp X-quang, siêu âm hoặc chụp cắt lớp vi tính (CT). Để hiểu rõ hơn về thủ thuật này, mời các bạn tham khảo bài viết dưới đây!
Chụp cộng hưởng từ (MRI) là một thủ thuật sử dụng từ trường và các xung năng lượng sóng vô tuyến để tạo ra hình ảnh của các cơ quan và cấu trúc bên trong cơ thể. Trong nhiều trường hợp, MRI cung cấp thông tin khác nhau về các cấu trúc trong cơ thể hơn so với chụp X-quang, siêu âm hoặc chụp cắt lớp vi tính (CT). Để hiểu rõ hơn về thủ thuật này, mời các bạn tham khảo bài viết dưới đây!
Chụp cộng hưởng từ bụng (MRI) là một thủ thuật được thực hiện với một máy sử dụng từ trường và các xung năng lượng sóng vô tuyến để tạo ra hình ảnh của các cơ quan và cấu trúc bên trong bụng. Trong nhiều trường hợp, MRI bụng cung cấp thông tin về các cấu trúc trong cơ thể không thể nhìn thấy bằng X-quang, siêu âm hoặc CT scan. Để hiểu rõ hơn về thủ thuật này, mời các bạn tham khảo bài viết dưới đây!
Phân tích sỏi thận là một xét nghiệm được thực hiện trên sỏi thận để xem hóa chất nào trong đó. Xét nghiệm được thực hiện trên sỏi thận đã được truyền qua nước tiểu hoặc lấy ra khỏi đường tiết niệu trong khi phẫu thuật. Để hiểu rõ hơn về thủ thuật này, mời các bạn tham khảo bài viết dưới đây!
Các bác sĩ sử dụng xét nghiệm tiêu bản KOH để tìm hiểu xem có bị nhiễm nấm không. Loại nhiễm trùng này có thể xảy ra ở các bộ phận khác nhau của cơ thể, chẳng hạn như da, móng tay, miệng hoặc âm đạo. Để hiểu rõ hơn về thủ thuật này, mời các bạn tham khảo bài viết dưới đây!
Chụp thận tĩnh mạch (IVP) là một thủ thuật X-quang cung cấp hình ảnh của thận, bàng quang, niệu quản và niệu đạo (đường tiết niệu). Chụp thận tĩnh mạch có thể cho thấy kích thước, hình dạng và vị trí của đường tiết niệu và nó có thể đánh giá hệ thống thu thập bên trong thận. Để hiểu rõ hơn về thủ thuật này, mời các bạn tham khảo bài viết dưới đây!
Xạ hình thận là một thủ thuật quét hạt nhân được thực hiện để kiểm tra chức năng hoặc hình ảnh của thận. Trong quá trình thủ thuật để xem xét chức năng thận, một chất đánh dấu phóng xạ được tiêm vào tĩnh mạch ở cánh tay và sau đó đi qua dòng máu đến thận. Để hiểu rõ hơn về thủ thuật này, mời các bạn tham khảo bài viết dưới đây!
Nội soi buồng tử cung có thể được thực hiện để tìm ra nguyên nhân chảy máu bất thường, hoặc chảy máu xảy ra sau khi một phụ nữ đã qua thời kỳ mãn kinh. Để hiểu rõ hơn về thủ thuật này, mời các bạn tham khảo bài viết dưới đây!