Viêm phổi thùy là tình trạng viêm nhiễm gây tổn thương nhu mô phổi bao gồm phế nang, túi phế nang, ống phế nang, tổ chức mô liên kết và tiểu phế quản tận cùng. Bài viết này sẽ nói rõ hơn về hội chứng nhiễm khuẩn do viêm phổi thùy, mời các bạn tham khảo!
Áp xe phổi là ổ mủ trong nhu mô phổi do viêm nhiễm hoại tử cấp tính không phải lao, sau khi ộc mủ tạo thành hang. Bài viết này sẽ nói rõ hơn về hội chứng nhiễm khuẩn gây áp xe phổi. Mời các bạn tham khảo!
Xét nghiệm ANA phát hiện kháng thể kháng nhân trong máu. Hệ thống miễn dịch bình thường làm cho các kháng thể để giúp chống lại nhiễm trùng. Để biết rõ hơn về phương pháp này, mời các bạn tham khảo bài viết dưới đây!
Hiến máu là một thủ tục tự nguyện. Đồng ý để được lấy máu để nó có thể được trao cho một người cần truyền máu. Hàng triệu người cần phải truyền máu mỗi năm. Dưới đây là một số thông tin chi tiết, mời các bạn tham khảo!
Việc truyền máu làm tăng nồng độ trong máu thấp, hoặc vì cơ thể không làm đủ hoặc vì máu đã bị mất trong quá trình phẫu thuật, chấn thương hoặc bệnh. Cùng eLip tham khảo bài viết dưới đây để hiểu rõ hơn nhé!
Kiểm tra huyết áp đo áp suất trong động mạch. Có thể có một kiểm tra huyết áp như là một phần của cuộc hẹn thường xuyên của bác sĩ hoặc là một sàng lọc cho bệnh cao huyết áp. Mời các bạn tham khảo bài viết dưới đây để hiểu rõ hơn nhé!
Sinh thiết tuyến tiền liệt là thủ tục nhằm loại bỏ mẫu mô nghi ngờ đem xét nghiệm, quan sát dưới kính hiển vi để giải phẫu bệnh. Dưới đây là một số thông tin chi tiết, mời các bạn tham khảo!
Hiến máu và tủy xương là một quá trình tự nguyện. Đồng ý cho phép các bác sĩ để thu hút các tế bào gốc máu từ máu hoặc tủy xương cho việc cấy ghép. Vậy phương pháp này có những rủi ro gì không? Trước khi tiến hành cần chuẩn bị những gì? Mời các bạn cùng tham khảo bài viết dưới đây để hiểu rõ hơn nhé!
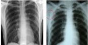
Chụp X-quang là chụp ảnh phóng xạ thường được thực hiện nhất. Chụp X-quang thường trong thủ tục đầu tiên mà sẽ trải qua nếu bác sĩ nghi ngờ có bệnh tim hoặc phổi. Để hiểu rõ hơn về phương pháp này, mời các bạn cùng tham khảo bài viết dưới đây.
Chụp mạch vành (Angiograms) là một thủ tục sử dụng hình ảnh X-ray để xem các mạch máu tim. Angiograms mạch vành là một phần của một nhóm chung các thủ tục được gọi là đặt ống thông tim. Dưới đây là một số thông tin chi tiết, mời các bạn tham khảo!
Cortisone tiêm có thể giúp giảm đau và viêm trong một khu vực cụ thể của cơ thể. Cortisone tiêm phổ biến nhất ở các khớp, chẳng hạn như mắt cá chân, khuỷu tay, hông, đầu gối, cột sống, vai và cổ tay. Ngay cả các khớp nhỏ ở bàn tay và bàn chân có thể hưởng lợi từ cortisone. Tham khảo bài viết dưới đây để hiểu rõ hơn nhé!
Sinh thiết là một thủ thuật, để loại bỏ một mảnh mô hoặc một mẫu tế bào từ cơ thể, để có thể được phân tích trong phòng xét nghiệm. Để hiểu rõ hơn, mời các bạn tham khảo bài viết dưới đây nhé!
Doppler siêu âm là một thử nghiệm không xâm lấn có thể được sử dụng để đo lưu lượng máu và huyết áp bằng cách chuyển sóng âm thanh tần số cao (siêu âm) ra khỏi lưu thông các tế bào máu đỏ. Để hiểu rõ hơn, mời các bạn tham khảo bài viết dưới đây nhé!
Kiểm tra siêu âm, còn được gọi là siêu âm hoặc siêu âm chẩn đoán y tế, là một phương pháp chụp ảnh sử dụng sóng âm thanh tần số cao để tạo ra hình ảnh chính xác của cấu trúc trong cơ thể. Để hiểu rõ hơn về siêu âm, mời các bạn tham khảo bài viết sau đây.
Kiểm tra máu ẩn trong phân cũng được gọi là FOBT - là một thử nghiệm phòng thí nghiệm được sử dụng để kiểm tra mẫu phân xét nghiệm tìm máu ẩn. Dưới đây là một số thông tin liên quan đến Xét nghiệm máu trong phân (FOBT), mời các bạn tham khảo!
Siêu âm thai nhi thường được thực hiện trong tam cá nguyệt đầu tiên để xác nhận và ghi ngày tháng mang thai và ba tháng thứ hai - từ 18 đến 20 tuần khi các chi tiết giải phẫu có thể nhìn thấy. Để hiểu rõ hơn về siêu âm thai nhi, mời các bạn tham khảo bài viết dưới đây!
Điện tim là một thử nghiệm không xâm lấn không gây đau đớn. Kết quả điện tâm đồ có thể sẽ được báo cáo trong cùng một ngày nó được thực hiện, và bác sĩ sẽ thảo luận với tại cuộc hẹn tiếp theo. Để hiểu rõ hơn về phương pháp này, mời các bạn tham khảo bài viết dưới đây.
Nếu cần thiết, khối u hoặc các loại mô bất thường có thể được loại bỏ thông qua phạm vi trong quá trình nội soi. Mẫu mô (sinh thiết) có thể được thực hiện trong nội soi.
Đo áp lực thực quản có thể hữu ích trong việc chẩn đoán một loạt các rối loạn ảnh hưởng đến thực quản. Đo áp lực thực quản cũng có thể được sử dụng như một phần của đánh giá trước phẫu thuật. Để hiểu rõ hơn về thủ thuật này, mời các bạn tham khảo bài viết dưới đây!
Kiểm tra fibronectin của bào thai được sử dụng để loại trừ sinh non. Nó thường không hữu ích cho phụ nữ có nguy cơ sinh non thấp, nhưng nó có thể cung cấp thông tin có giá trị. Để hiểu rõ hơn về phương pháp này, mời các bạn tham khảo bài viết dưới đây!