Cùng với nhu cầu bảo vệ và chăm sóc sức khỏe của con người ngày càng tăng cao, ngành Xét nghiệm y học đang trở thành một trong những ngành học được nhiều thí sinh và phụ huynh quan tâm. Để đáp ứng nhu cầu tham khảo ngày càng nhiều, eLib đã xây dựng danh mục các tài liệu về Xét nghiệm y tế bao gồm điện tâm đồ và bệnh lý, xét nghiệm máu, các thủ thuật xét nghiệm trong chuẩn đoán và điều trị trong lâm sàng... để giúp có thêm kiến thức, kỹ năng về thực hiện kiểm tra, giám sát các quy chế vô khuẩn, quy định về sử dụng hóa chất và sinh phẩm chuyên dụng. Hi vọng sẽ trở thành nguồn tài liệu hữu ích phục vụ cho công tác nghiên cứu, học tập và làm việc của đội ngũ y - bác sĩ.
Nhồi máu cơ tim cấp thành dưới là một cấp cứu tối khẩn. Mặc dù đã có rất nhiều tiến bộ trong công tác hồi sức cấp cứu và can thiệp mạch vành, tỷ lệ tử vong do nhồi máu cơ tim cấp vẫn còn cao. Để hiểu rõ hơn về hội chứng này, mời các bạn tham khảo bài viết sau đây!
Nhồi máu não chiếm tỷ lệ khoảng 80% đột quỵ não, 20% còn lại là chảy máu não, chảy máu dưới màng nhện. Bài viết này sẽ nói rõ hơn về hội chứng Nhồi máu não ổ khuyết cạnh não thất bên phải. Mời các bạn tham khảo!
Viêm màng ngoài tim cấp là bệnh lý tim mạch trong đó màng ngoài tim bị viêm và có thể kèm tràn dịch. Vậy trên điện tâm đồ, bệnh được thể hiện như thế nào? Tham khảo bài viết dưới đây để hiểu rõ hơn nhé!
Nhồi máu não hay nhũn não xảy ra khi một mạch máu bị tắc, nghẽn, khu vực tưới bởi mạch đó bị thiếu máu và hoại tử. Nhồi máu não chiếm khoảng 80 - 85% trong tổng số các bệnh nhân tai biến mạch máu não. Để hiểu rõ hơn về bệnh lý nguy hiểm này, mời các bạn tham khảo bài viết dưới đây nhé!
Mặc dù đã có rất nhiều tiến bộ trong công tác hồi sức cấp cứu và can thiệp mạch vành, tỷ lệ tử vong do nhồi máu cơ tim cấp vẫn còn cao. Tham khảo bài viết dưới đây để biết thêm một số thông tin cần thiết về bệnh nhé!
Nhồi máu não chiếm từ 70-80% các trường hợp đột quỵ nhưng có thể chữa khỏi trong khi bệnh nhân bị xuất huyết não dễ tử vong hoặc tàn phế. Để hiểu rõ hơn về bệnh lý này, mời các bạn cùng tham khảo những thông tin dưới đây nhé!
Nhồi máu cơ tim là do sự tắc nghẽn hoàn toàn một hoặc nhiều nhánh động mạch vành dẫn đến thiếu máu cơ tim đột ngột và hoại tử vùng cơ tim được tưới máu bởi động mạch vành đó. Bài viết này sẽ nói rõ hơn về Viêm màng ngoài tim trên điện tâm đồ thay đổi sau khi nhồi máu cơ tim. Mời các bạn tham khảo!
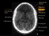
Nhũn não là hậu quả của tình trạng tắc mạch máu nuôi vùng não đó, gây nhồi máu não (cerebral infarct). Bài viết này sẽ nói rõ hơn về bệnh lý nhũn não động mạch não giữa, mời các bạn tham khảo!
Sự gia tăng 25% creatine kinase, cho thấy tăng tổn thương cơ tim, đã được quan sát thấy tại các điểm cuối trong nhóm thở oxy. Kết quả điểm cuối cho troponin I, tuy nhiên, không có sự khác biệt đáng kể giữa hai nhóm. Mời các bạn tham khảo bài viết dưới dây để hiểu rõ hơn nhé!
Nhũn não là hậu quả của tình trạng tắc mạch máu nuôi vùng não đó, gây nhồi máu não (cerebral infarct). Bài viết này sẽ nói rõ hơn về bệnh lý nhũn não động mạch não sau, mời các bạn tham khảo!
Máy tạo nhịp là một trong những liệu pháp không dùng thuốc thành công nhất và cũng xuất hiện sớm nhất trong xử lý rối loạn nhịp tim. Mời các bạn tham khảo bài viết dưới đây để hiểu rõ hơn nhé!
Máy tạo nhịp đơn một khoang chỉ có một đầu chỉnh nhịp, máy kép hai khoang có hai đầu, một đầu dẫn vào tâm nhĩ và đầu kia dẫn vào tâm thất. Để hiểu rõ hơn, mời các bạn tham khảo một số thông tin dưới đây nhé!
Khi máu bị “ách tắc giao thông” hoàn toàn, không thể đem chất dinh dưỡng nuôi não thì tế bào não sẽ chết, xung quanh nhũn ra. Giới y học gọi hiện tượng này là chứng nhũn não. Bài viết này sẽ nói cụ thể về hội chứng Nhũn não động mạch não trước, mời các bạn tham khảo!
Máy tạo nhịp là một trong những liệu pháp không dùng thuốc thành công nhất và cũng xuất hiện sớm nhất trong xử lý rối loạn nhịp tim. Tuy nhiên cảm biến của máy tạo nhịp tim quá mạnh có thể ảnh hưởng không tốt đến hoạt động của nhịp tim. Tham khảo bài viết dưới đây để hiểu rõ hơn nhé!
Teo não là một phần tự nhiên của quá trình lão hóa, xảy ra nhanh hơn ở những người mắc chứng khiếm khuyết nhận thức nhẹ, một dấu hiệu báo trước của bệnh Alzheimer. Tham khảo bài viết dưới đây để hiểu rõ hơn nhé!
Nhịp nhanh nhĩ kịch phát trên điện tâm đồ là loại rối loạn nhịp nặng, thường là do cơ chế vào lại nút nhĩ thất, hiếm hơn có thể do tăng tính phóng điện của một ổ lạc chỗ nằm trong nhĩ. Để hiểu rõ hơn về hội chứng này, mời các bạn cùng tham khảo bài viết dưới đây nhé!
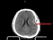
Phù não là tình trạng xảy ra khi dịch tích tụ xung quanh tổ chức não, gây gia tăng áp lực nội sọ. Vậy trên CT scaner, hội chứng này được thể hiện như thế nào? Tham khảo bài viết sau đây để hiểu rõ hơn nhé!
Tăng kali máu là một bệnh lý hay gặp, lên tới 10% bệnh nhân nội trú. Và một nồng độ kali cao có tỷ lệ tử vong cao nếu không được điều trị kịp thời. Tìm hiểu ngay bài viết dưới đây để hiểu rõ hơn về hội chứng này nhé!
Dập não là một tổn thương chủ yếu trong chấn thương não nặng. Nếu nhẹ, dập não để lại di chứng về sau như động kinh. Nếu nặng, nó thường kèm theo phần lớn các máu tụ trong sọ. Để hiểu rõ hơn về bệnh, mời các bạn cùng tham khảo bài viết dưới đây nhé!
Xuất huyết trong não thất thường liên quan với máu tụ trong não, xuất huyết dưới màng nhện, máu tụ dưới màng cứng. Để biết rõ hơn về hội chứng này, eLip mời các bạn cùng tham khảo bài viết dưới đây nhé!