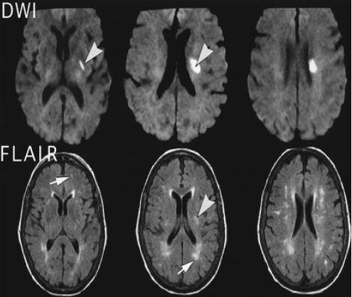
Nhồi máu não ổ khuyết cạnh não thất bên phải
109 lượt xem
Nhồi máu não chiếm tỷ lệ khoảng 80% đột quỵ não, 20% còn lại là chảy máu não, chảy máu dưới màng nhện. Bài viết này sẽ nói rõ hơn về hội chứng Nhồi máu não ổ khuyết cạnh não thất bên phải. Mời các bạn tham khảo!
Trên thực tế người bị tai biến mạch máu não có 2 dạng thường gặp là nhũn não và xuất huyết não, cả 2 dạng này đều có những biểu hiện chung sau đây:
- Rối loạn về tri giác: Có nhiều trường hợp người bệnh vẫn còn tỉnh táo, nhưng đa số là có tri giác giảm sút như: lơ mơ, ngủ gà đôi khi là hôn mê.
- Rối loạn về vận động như: Liệt nửa người, nếu nặng người không tự đi lại được, trường hợp nhẹ người bệnh đi khó khăn khi đi hay bị rớt dép, liệt mặt cùng bên với bên bị liệt, liệt các cơ hầu họng làm cho người bệnh nuốt khó khăn khi ăn uống dễ bị sặc, thức ăn rớt vào đường hô hấp gây nghẹt thở có thể gây tử vong cho bệnh nhân. Ngoài ra người bệnh có thể bị tình trạng nói khó, hay không nói được, tiêu tiểu cũng không điều khiển được.

Trên đây là một số thông tin và hình ảnh về hội chứng Nhồi máu não ổ khuyết cạnh não thất bên phải, hy vọng sẽ giúp các bạn có hướng điều trị bệnh kịp thời và hiệu quả!
109 lượt xem
Ngày:11/08/2020
Chia sẻ bởi:Minh Ngoan
