Xuất huyết não và não thất
131 lượt xem
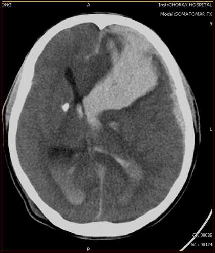
Xuất huyết não thất được coi như một hiện tượng thứ phát do chảy máu não vỡ hoặc chảy máu nhu mô não vào khoang não thất. Đây là một trong những bệnh lý gây tử vong cao. Chẩn đoán và điều trị sớm bệnh sẽ giúp nâng cao cơ hội sống cho bệnh nhân. Để hiểu rõ hơn về hội chứng nguy hiểm này, mời các bạn tham khảo bài viết dưới đây!
Trên thực tế người bị tai biến mạch máu não có 2 dạng thường gặp là nhũn não và xuất huyết não, cả 2 dạng này đều có những biểu hiện chung sau đây:
- Rối loạn về tri giác: Có nhiều trường hợp người bệnh vẫn còn tỉnh táo, nhưng đa số là có tri giác giảm sút như: lơ mơ, ngủ gà đôi khi là hôn mê.
- Rối loạn về vận động như: Liệt nửa người, nếu nặng người không tự đi lại được, trường hợp nhẹ người bệnh đi khó khăn khi đi hay bị rớt dép, liệt mặt cùng bên với bên bị liệt, liệt các cơ hầu họng làm cho người bệnh nuốt khó khăn, khi ăn uống dễ bị sặc, thức ăn rớt vào đường hô hấp gây nghẹt thở có thể gây tử vong cho bệnh nhân. Ngoài ra người bệnh có thể bị tình trạng nói khó, hay không nói được, tiêu tiểu cũng không điều khiển được.

Trên đây là một số thông tin liên quan đến bệnh xuất huyết não và não thất, hy vọng sẽ giúp các bạn có thêm kiến thức để chẩn đoán và điều trị bệnh kịp thời và hiệu quả!
131 lượt xem
Ngày:11/08/2020
Chia sẻ bởi:Oanh
