Viêm phổi nocardiosis ở người ghép thận
Viêm phổi là một bệnh nhiễm trùng phổi phổ biến gây ra bởi vi khuẩn, virus hoặc nấm. Bài viết này sẽ nói rõ về bệnh lý viêm phổi nocardiosis ở người ghép thận. Mời các bạn tham khảo!
Viêm phổi là một bệnh nhiễm trùng phổi phổ biến gây ra bởi vi khuẩn, virus hoặc nấm. Yếu tố góp phần có thể do hít sặc, tắc mạch phổi, giảm miễn dịch… Viêm phổi và các triệu chứng của nó có thể khác nhau từ nhẹ đến nặng. Nhiều phương pháp điều trị cho bệnh viêm phổi có sẵn. Điều trị tùy thuộc vào nguyên nhân gây bệnh viêm phổi, mức độ nặng của triệu chứng, tuổi tác và sức khỏe tổng thể. Hầu hết những người khỏe mạnh phục hồi từ bệnh viêm phổi trong 1 - 3 tuần, nhưng viêm phổi có thể đe dọa tính mạng. Các tin tốt là viêm phổi có thể được ngăn ngừa bằng cách-một chích ngừa cúm hàng năm (như cúm thường dẫn đến viêm phổi), thường xuyên rửa tay, và cho những người có nguy cơ cao chủng ngừa viêm phổi do phế cầu.

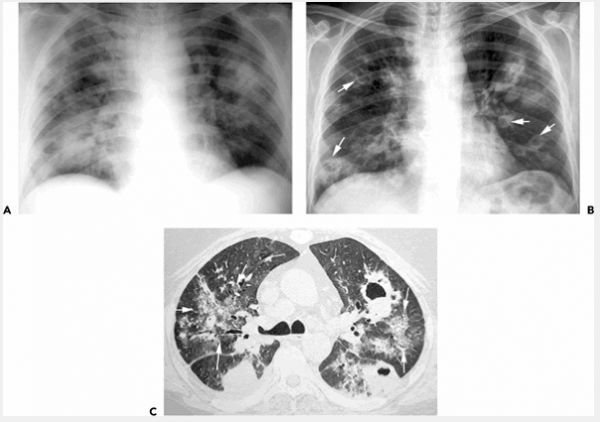
A: X quang ngực thẳng trước sau cho thấy khu vực song phương hợp nhất.
B: X quang 6 ngày sau cho thấy nhiều ổ áp xe hình thành và cavitation (mũi tên).
C: Chụp cắt lớp vi tính độ phân giải cao (CT) (1 mm chuẩn), hình ảnh ở mức độ phế quản chính cho thấy trọng tâm nhiều hợp nhất, một số trong đó được cavitated. Cũng ghi nhận được chắp kính song phương Opacity với chồng Opacity tuyến tính (mũi tên) và tràn dịch màng phổi phải nhỏ. Bệnh nhân đàn ông 45 tuổi.
Trên đây là một số thông tin về bệnh viêm phổi nocardiosis ở người ghép thận, hy vọng sẽ giúp các bạn có những hiểu biết cần thiết trong quá trình thăm khám và chẩn đoán bệnh!
