Cùng với nhu cầu bảo vệ và chăm sóc sức khỏe của con người ngày càng tăng cao, ngành Xét nghiệm y học đang trở thành một trong những ngành học được nhiều thí sinh và phụ huynh quan tâm. Để đáp ứng nhu cầu tham khảo ngày càng nhiều, eLib đã xây dựng danh mục các tài liệu về Xét nghiệm y tế bao gồm điện tâm đồ và bệnh lý, xét nghiệm máu, các thủ thuật xét nghiệm trong chuẩn đoán và điều trị trong lâm sàng... để giúp có thêm kiến thức, kỹ năng về thực hiện kiểm tra, giám sát các quy chế vô khuẩn, quy định về sử dụng hóa chất và sinh phẩm chuyên dụng. Hi vọng sẽ trở thành nguồn tài liệu hữu ích phục vụ cho công tác nghiên cứu, học tập và làm việc của đội ngũ y - bác sĩ.
Điện tâm đồ là phương pháp theo dõi hoạt động điện của tim rất phổ biến hiện nay, hầu như cơ sở khám chữa bệnh nào cũng đều sử dụng điện tâm đồ như một tiêu chuẩn chẩn đoán cho các bệnh lý tim mạch. Vậy như thế nào là điện tâm đồ bình thường? Mời các bạn tham khảo bài viết ngay dưới đây để hiểu rõ hơn nhé!
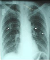
Hạch trung thất to và đối xứng trong Sarcoidose trên phim chụp x quang ngực. Mời các bạn tham khảo một số thông tin dưới đây để hiểu rõ hơn nhé!
Mắc nhầm dây điện cực đỏ sang tay trái và dây điện cực vàng sang tay phải. Hình ảnh điện tâm đồ có các sóng đều âm ở DI (nhất là P), DII có dạng DIII và ngược lại, aVR có dạng aVL và ngược lại. Để hiểu rõ hơn mời các bạn tham khảo bài viết ngay dưới đây!
Bệnh bụi phổi là do bụi tích lũy trong phổi thông qua quá trình người bệnh hít thở khói bụi bẩn vào trong cơ thể thường xuyên. Vậy trên phim x quang, bệnh bụi phổi được thể hiện như thế nào? Tham khảo bài viết ngay dưới đây để hiểu rõ hơn nhé!
Các điện cực trước tim khi làm điện tâm đồ được đặt liên tiếp cạnh nhau nên các sóng của chúng biến thiên liên tục. Tham khảo những thông tin dưới đây để hiểu rõ hơn nhé!
Thoát vị cơ hoành dạ dày là một phần của dạ dày lên vào trong khoang ngực. Dạ dày ép lên thông qua một lỗ nhỏ ở cơ hoành. Để hiểu rõ hơn về bệnh lý này, mời các bạn tham khảo bài viết dưới đây!
Hình ảnh điện tâm đồ có đường gấp khúc hoặc rung động từng chỗ của đường đẳng điện, có chỗ chênh hẳn ra khỏi đường đẳng điện hoặc đường đẳng điện uốn lượn. Mời các tham khảo thêm một số thông tin dưới đây để hiểu rõ hơn nhé!
Trường hợp là ngoại tâm thu nghỉ bù, ta có thể thấy đi kèm vào thất đồ ngoại tâm thu, có một sóng P nó có thể rơi vào bất kỳ trước, trong hay sau thất đồ mà không có liên hệ gì với nó. Cùng eLip tìm hiểu thêm một số thông tin dưới đây để hiểu rõ hơn nhé!
QRST có thể rất giống thất đồ nhịp cơ sở, cũng có khi biến mất hẳn, gọi là ngoại tâm thu nhĩ bị block, nguyên nhân do ngoại tâm thu đến quá sớm nên vấp phải tình trạng trơ. Mời các bạn tham khảo thêm thông tin dưới đây để hiểu rõ hơn nhé!
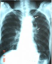
Cơ hoành là một lớp cơ mỏng, ngăn cách hai phần ngực và bụng. Khi các tạng trong ổ bụng hiện diện trong lồng ngực thì được gọi là thoát vị hoành. Hình ảnh điển hình của thoát vị hoành bên phải có mức nước mức hơi. Mời các bạn tham khảo thông tin dưới đây để hiểu rõ hơn!
Ngoại tâm thu trên thất, thường là ngoại tâm thu nhĩ, với đặc điểm, Sóng P phảy đến sớm, có thể đến sớm chồng cả lên T của nhát bóp trước, Sóng P phảy thường là biến dạng, có thể đứng trước QRST phảy, đứng sau hay mất hút. Mời các bạn tham khảo bài viết dưới đây để hiểu rõ hơn nhé!
Ung thư phổi phải áp xe hoá trên phim chụp x quang và cắt lớp vi tính. Chẩn đoán ung thư phổi và phân loại hiện nay chủ yếu dựa trên kính hiển vi, thỉnh thoảng bổ sung bằng các xét nghiệm miễn dịch. Để biết rõ hơn về bệnh lý này mời các bạn cùng tham khảo bài viết ngay dưới đây nhé!
Ngoại tâm thu thất (NTTT) là dạng rối loạn nhịp tim thường gặp nhất, có thể xảy ra trên những người có hoặc không có bệnh tim. Vậy Ngoại tâm thu thất được thể hiện như thế nào trên hình ảnh điện tâm đồ? Cùng eLip tìm hiểu ngay bài viết dưới đây nhé!
Xoắn đỉnh (TDP) là một hình thức cụ thể của nhịp nhanh thất đa hình xảy ra trong bối cảnh QT kéo dài, nó có một hình thái đặc trưng trong đó phức bộ QRS "Xoắn" xung quanh các đường đẳng điện. Vậy xoắn đỉnh được thể hiện như thế nào trên hình ảnh điện tâm đồ? Tham khảo những thông tin ngay dưới đây để hiểu rõ hơn nhé!
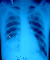
Lao hang phổi phải có mức nước mức hơi trên phim chụp x quang ngực. Để hiểu rõ hơn về bệnh lý này mời các bạn cùng tham khảo bài viết ngay dưới đây nhé!
Nhịp nhanh thất là rối loạn nhịp tim có nguồn gốc từ tâm thất. Vậy trên hình ảnh điện tâm đồ, nhịp nhanh thất được thể hiện như thế nào? Cùng eLip tìm hiểu bài viết ngay dưới đây để hiểu rõ hơn nhé!
Kén hơi khổng lồ phổi trái gây cản trở chức năng của phổi; nó có thể gây áp lực lên phổi và gây trở ngại cho chức năng thích hợp của nó. Cùng eLip tham khảo ngay bài viết dưới đây để hiểu rõ hơn về hội chứng này nhé!
Nhịp tim nhanh xoang là một sự gia tăng bình thường trong nhịp tim, xung xoang nhĩ SA nhịp tự nhiên của tim, gửi tín hiệu điện nhanh hơn bình thường. Để biết rõ hơn về hội chứng này, mời các bạn cùng tham khảo bài viết ngay dưới đây.
Khí phế thũng gây mất tính đàn hồi thành của các túi khí nhỏ trong phổi. Cuối cùng, thành của các túi căng và không co lại, mà tạo ra kén lớn hơn. Để biết rõ hơn về hội chứng này, mời các bạn cùng tham khảo bài viết ngay dưới đây!
Block nhĩ thất cấp II có một số xung động từ trên nhĩ không dẫn truyền được xuống thất, trên điện tâm đồ thấy có một số sóng P không có phức bộ QRS đi theo. Mời các bạn tham khảo bài viết ngay dưới đây để hiểu rõ hơn nhé!