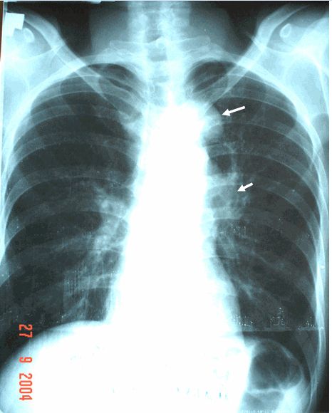
Hạch trung thất to và đối xứng trong Sarcoidose
Hạch trung thất to và đối xứng trong Sarcoidose trên phim chụp x quang ngực. Mời các bạn tham khảo một số thông tin dưới đây để hiểu rõ hơn nhé!
Hạch trung thất là một nhóm các hạch bạch huyết nằm trong trung thất, là một phần trong phần trung tâm của ngực. Các hạch bạch huyết là, cấu trúc tròn nhỏ được đặt trên khắp cơ thể, đặc biệt là xung quanh các mạch máu. Các hạch bạch huyết là một phần quan trọng của hệ thống bạch huyết của cơ thể. Các hạch trung thất, như các hạch bạch huyết khác.
Các hạch trung thất cao là ở phần trên của ngực và cổ, bên cạnh thực quản và khí quản và tiếp tục xuống đến mép trên của động mạch phổi trái. Các hạch trung thất thấp hơn có thể được tìm thấy trong khoang ngực dưới, gần các thùy dưới của phổi.

Trên đây là một số thông tin về Hạch trung thất to và đối xứng trong Sarcoidose, hy vọng sẽ giúp các bạn có thêm những hiểu biết trong quá trình chẩn đoán và điều trị bệnh!
