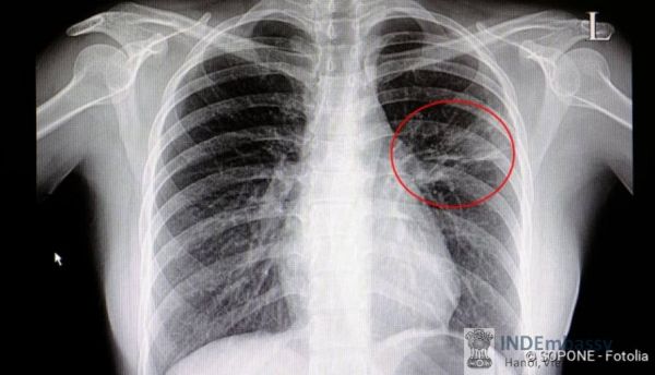
Viêm phổi điển hình
Viêm phổi là một bệnh nhiễm trùng phổi do vi khuẩn, virus, nấm, hoặc ký sinh trùng gây nên. Bài viết này sẽ tìm hiểu rõ hơn về viêm phổi điển hình. Mời các bạn tham khảo!
Viêm phổi là một bệnh nhiễm trùng phổi do vi khuẩn, virus, nấm, hoặc ký sinh trùng. Nó được đặc trưng chủ yếu của viêm phế nang trong phổi hoặc phế nang chứa đầy dịch. Một tình trạng rất nghiêm trọng, viêm phổi có thể làm cho một người bị bệnh nặng hoặc thậm chí gây tử vong. Mặc dù bệnh có thể xảy ra ở những người trẻ và khỏe mạnh, nó nguy hiểm nhất đối với người lớn tuổi, trẻ sơ sinh, và những người có bệnh khác hoặc hệ thống miễn dịch bị suy giảm. Tại Hoa Kỳ, hơn 3 triệu người phát triển bệnh viêm phổi mỗi năm, và khoảng 17% được điều trị tại bệnh viện. Hầu hết những người bị viêm phổi hồi phục, nhưng khoảng 5% sẽ thất bại trước tình trạng này.
Vi khuẩn và virus là nguyên nhân chính của bệnh viêm phổi. Khi một người hít phải vi trùng viêm phổi vào phổi và hệ thống miễn dịch của cơ thể không thể không ngăn ngừa, các sinh vật định cư trong các túi khí nhỏ gọi là phế nang và tiếp tục nhân nên. Khi cơ thể gửi các tế bào bạch cầu tấn công các vi trùng, các túi tiết chất lỏng và có mủ - Gây viêm phổi có vi khuẩn, virus, nấm, và nguyên nhân chính khác.
Vi khuẩn Streptococcus pneumoniae là nguyên nhân thường gặp nhất của viêm phổi do vi khuẩn. Những người bị bệnh tắc nghẽn mãn tính (COPD) hoặc nghiện rượu thường bị viêm phổi từ Klebsiella pneumoniae và Hemophilus influenzae . Viêm phổi không điển hình, một loại viêm phổi thường xảy ra vào mùa hè và mùa thu, được gây ra bởi các vi khuẩn Mycoplasma pneumoniae . Những người có bệnh Legionnaire được gây ra bởi vi khuẩn Legionella pneumoniae (thường được tìm thấy trong nguồn nước bị ô nhiễm và điều hòa không khí) cũng có thể phát triển bệnh viêm phổi như là một phần của nhiễm trùng tổng thể. Một loại vi khuẩn gây viêm phổi được gọi là Chlamydia pneumoniae. Viêm phổi Pneumocystis carinii là một dạng của viêm phổi thường ảnh hưởng đến cả hai phổi và được tìm thấy ở những bệnh nhân có hệ miễn dịch bị suy yếu hoặc bị tổn hại từ các bệnh như ung thư và HIV / AIDS và những người điều trị bằng TNF (yếu tố hoại tử u) cho bệnh viêm khớp dạng thấp.

Trên đây là một số thông tin về Viêm phổi điển hình, hy vọng bài viết sẽ giúp các bạn có thêm những hiểu biết cơ bản trong quá trình chẩn đoán và điều trị bệnh!
