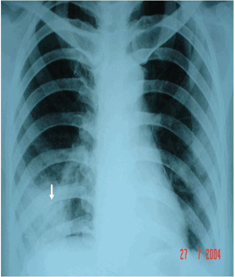
Áp xe đáy phổi phải có dạng đám mờ trên phim phổi thẳng
Áp xe phổi là một bệnh nghiêm trọng trong thời đại trước kháng sinh, khi một phần ba số bệnh nhân tử vong, một số phục hồi, và phần còn lại phát triển suy nhược và bệnh áp xe. Để hiểu rõ hơn về bệnh lý này, mời các bạn tham khảo bài viết dưới đây!
Áp xe phổi được định nghĩa là hoại tử mô phổi và sự hình thành ổ có chứa các mảnh vụn hoại tử hoặc dịch do bị nhiễm vi sinh vật. Sự hình thành của nhiều áp xe nhỏ (< 2 cm), thỉnh thoảng được gọi là hoại tử viêm hoặc hoại thư phổi. Cả hai áp xe phổi và viêm phổi hoại tử là những biểu hiện của một quá trình bệnh lý tương tự. Thất bại trong việc nhận biết và điều trị áp xe phổi có liên quan đến kết quả cải thiện lâm sàng.
Trong năm 1920, khoảng một phần ba số bệnh nhân bị áp-xe phổi chết. Tiến sĩ David Smith mặc nhiên công nhận rằng vi khuẩn đường miệng là cơ chế lây nhiễm. Ông quan sát thấy rằng các vi khuẩn được tìm thấy trong thành của áp xe phổi trong khám nghiệm tử thi giống như các vi khuẩn trong các kẽ hở nướu. Một áp xe phổi điển hình có thể được sao chép trong các mô hình động vật thông qua chất có chứa truyền bệnh trong khí quản, không phải 1, nhưng 4 vi khuẩn, được cho là Fusobacterium nucleatum, Peptostreptococcusloài, gram âm yếm khí, và có thể Prevotella melaninogenicus .
Áp xe phổi là một bệnh nghiêm trọng trong thời đại trước kháng sinh, khi một phần ba số bệnh nhân tử vong, một số phục hồi, và phần còn lại phát triển suy nhược và bệnh áp-xe tái phát, viêm mủ màng phổi mãn tính, giãn phế quản, hoặc các hậu quả khác của nhiễm trùng sinh mủ mạn tính. Trong giai đoạn đầu có kháng sinh, sulfonamides không cải thiện kết quả của bệnh nhân áp xe phổi. Sau khi penicillin và tetracycline trở thành có sẵn, kết quả cải thiện. Mặc dù phẫu thuật thường được xem là một lựa chọn điều trị trong quá khứ, vai trò của phẫu thuật đã giảm đi rất nhiều so với thời gian bởi vì hầu hết các bệnh nhân không có biến chứng áp xe phổi cuối cùng đáp ứng với điều trị kháng sinh kéo dài.
Áp xe phổi có thể được phân loại dựa vào thời gian và nguyên nhân có khả năng. Áp-xe cấp tính là ít hơn 4 - 6 tuần, trong khi các ổ áp xe mãn tính là dài hơn. Áp xe tiên phát có nguồn gốc truyền nhiễm, gây ra sau chọc hút hoặc viêm phổi. Áp xe thứ phát được gây ra bởi một điều kiện tồn tại từ trước (ví dụ, tắc nghẽn), lây lan từ ngoài phổi, giãn phế quản, và / hoặc một trạng thái suy giảm miễn dịch. Áp xe phổi có thể được đặc trưng bởi các tác nhân gây bệnh, như Staphylococcus, và áp xe kỵ khí hoặc Aspergillus.


Trên đây là một số thông tin liên quan đến bệnh Áp xe đáy phổi phải có dạng đám mờ trên phim phổi thẳng, hy vọng sẽ giúp các bạn có thêm những hiểu biết cần thiết trong quá trình thăm khám và chẩn đoán bệnh!
