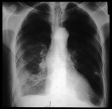
Tràn mủ màng phổi trên hình ảnh
Tràn mủ màng phổi là sự tích tụ mủ trong khoang màng phổi. Trong trường hợp hiếm hoi, viêm mủ màng phổi có thể xảy ra sau khi chọc kim xuyên qua thành ngực để rút chất dịch trong khoang màng phổi để chẩn đoán bệnh, điều trị. Mời các bạn cùng eLip tìm hiểu những thông tin về hội chứng này dưới đây nhé!
Viêm mủ màng phổi thường gây ra bởi một bệnh nhiễm trùng lây lan từ phổi. Nó dẫn đến sự tích tụ mủ trong khoang màng phổi.
Có thể có một ít dịch hoặc nhiều bị nhiễm bệnh. Chất lỏng này gây áp lực lên phổi.
Các yếu tố nguy cơ bao gồm: Viêm phổi do vi khuẩn, Phẫu thuật ngực, Áp xe phổi, Chấn thương hoặc tổn thương ngực.
Trong trường hợp hiếm hoi, viêm mủ màng phổi có thể xảy ra sau khi chọc kim xuyên qua thành ngực để rút chất dịch trong khoang màng phổi để chẩn đoán bệnh, điều trị.


Trên đây là một số thông tin và hình ảnh và tràn mủ màng phổi, hy vọng sẽ giúp các bạn có những hiểu biết để có hướng điều trị phù hợp!
