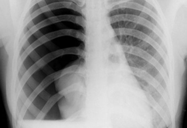
Tràn khí màng phổi trên hình ảnh
Tràn khí màng phổi là sự xuất hiện khí giữa lá thành và lá tạng của màng phổi. Đây là một tình trạng rối loạn hô hấp khá phổ biến, có thể xảy ra trong nhiều bệnh cảnh lâm sàng khác nhau và gặp ở bất cứ lứa tuổi nào. Cùng eLip tìm hiểu ngay những thông tin dưới đây để hiểu rõ hơn nhé!
Tràn khí màng phổi được định nghĩa là sự hiện diện của không khí hoặc khí trong khoang màng phổi (tức là, không gian giữa màng phổi tạng và thành), có thể làm giảm sự oxy hóa và / hoặc thông khí. Các kết quả lâm sàng phụ thuộc vào mức độ của sự xẹp phổi bên bị ảnh hưởng. Nếu tràn khí màng phổi quan trọng, nó có thể gây ra sự thay đổi của trung thất và sự ổn định huyết động. Không khí có thể nhập vào không gian màng phổi qua từ thành ngực (tức là chấn thương) hoặc thông qua nhu mô phổi qua màng phổi tạng.
Dấu hiệu và triệu chứng ở bệnh nhân tràn khí màng phổi thay đổi tùy theo các loại sau đây của tràn khí màng phổi và dao động từ hoàn toàn không có triệu chứng đến suy hô hấp đe dọa tính mạng:
- Tràn khí màng phổi tự phát: Không có dấu hiệu lâm sàng hoặc triệu chứng tràn khí màng phổi tự phát cho đến vỡ bọt khí và gây tràn khí màng phổi, kết quả là khởi phát cấp đau ngực và khó thở, đặc biệt là với tràn khí tự phát thứ phát.
- Tràn khí màng phổi do điều trị: Các triệu chứng tương tự như tràn khí màng phổi tự phát, tùy thuộc vào độ tuổi của bệnh nhân, sự hiện diện của bệnh phổi cơ bản, và mức độ tràn khí màng phổi
- Tràn khí màng phổi nặng: Hạ huyết áp, thiếu oxy máu, đau ngực, khó thở
- Tràn khí màng phổi Catamenial: Phụ nữ độ tuổi từ 30-40 năm với triệu chứng xuất hiện trong vòng 48 giờ sau khi hành kinh.
Phải được phân biệt với tràn khí màng phổi tự phát; bệnh nhân có thể có hoặc có thể không có triệu chứng đau ngực, ho dai dẳng, đau họng, khó nuốt, khó thở, hoặc buồn nôn / nôn.





Trên đây là một số thông tin và hình ảnh về hội chứng tràn khí màng phổi, hy vọng sẽ giúp các bạn có hướng điều trị bệnh kip thời và hiệu quả!
