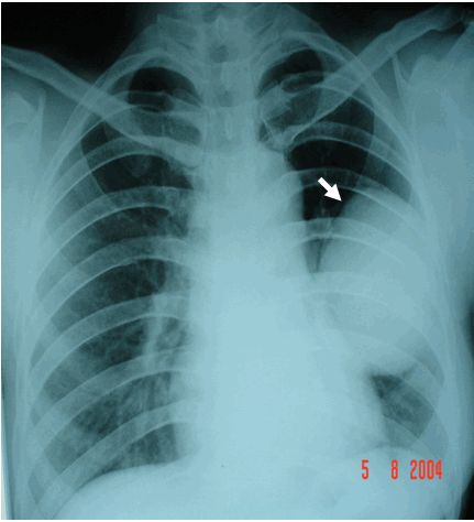
Khối u phổi: đám mờ trên phim Xquang phổi ranh giới không rõ
U phổi là một trong những bệnh lý có rất ít các triệu chúng lâm sàng rõ ràng. Đặc biệt là ở giai đoạn sớm của bệnh có thể không xuất hiện bất kỳ triệu chứng nào. Chụp CT Scan phổi độ phân giải cao có thể được chỉ định trên những bệnh nhân có các dấu hiệu lâm sàng của viêm phổi nhưng không thấy hình ảnh bất thường. Cùng eLip tìm hiểu những thông tin ngay dưới đây để hiểu rõ hơn nhé!
Đại đa số các khối u ung thư phổi. Phổ biến nhất, nó phát sinh từ các pseudo-phân tầng biểu mô niêm mạc của đường hô hấp phế quản nhưng cũng có thể phát sinh từ các biểu mô cuối đường hô hấp nhỏ và phế nang. Trên thế giới, ung thư phổi là nguyên nhân phổ biến nhất gây tử vong liên quan ung thư.
Chẩn đoán ung thư phổi và phân loại hiện nay chủ yếu dựa trên kính hiển vi, thỉnh thoảng bổ sung bằng các xét nghiệm miễn dịch. Việc sử dụng các dữ liệu microarray được tạo ra trong tương lai có khả năng cải thiện triệt để phân loại bệnh.
Các khối u phổi được chia thành hai loại chính:
- Ung thư tế bào nhỏ (SCLC 20-25% các trường hợp) và ung thư phổi không tế bào nhỏ (NSCLC 70-80% các trường hợp) dựa trên lâm sàng và sự xuất hiện mô học.
Loại u hiếm khác bao gồm:
- Carcinoid (điển hình hoặc không điển hình),
- Ung thư biểu mô,
- Blastomas phổi,
- Ung thư tế bào khổng lồ và trục.
- Ung thư tế báo không nhỏ được chia thành ba loại mô học bệnh chính:
- Ung thư biểu mô tế bào vảy,
- Adenocarcinoma và
- Ung thư biểu mô tế bào lớn.
Trong khi ở một số quốc gia, ung thư tuyến là bệnh phổ biến nhất, ở các nước khác, trong khi tần số tương đối của ung thư tuyến đang tăng lên, ung thư biểu mô tế bào vảy vẫn chiếm ưu thế.












Trên đây là một số thông tin và hình ảnh xét nghiệm về u phổi, hy vọng sẽ giúp các bạn có những kiến thức cơ bản về bệnh để điều trị kịp thời!
