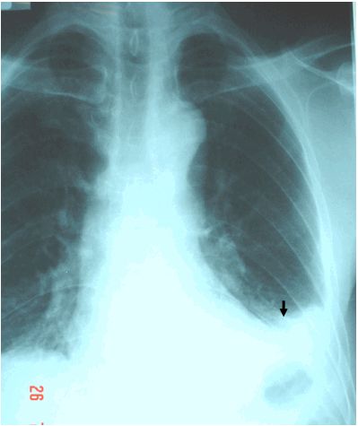
Tràn dịch màng phổi do lao trên hình ảnh
Tràn dịch màng phổi là một hội chứng gây ra bởi nhiều bệnh lý khác nhau. Để chẩn đoán tràn dịch màng phổi cũng như nguyên nhân gây ra tình trạng này thì việc thực hiện các xét nghiệm tràn dịch màng phổi là hết sức cần thiết. Cùng eLip tìm hiểu một số thông tin dưới đây nhé!
Tràn dịch màng phổi là số lượng bất thường của dịch xung quanh phổi. Tràn dịch màng phổi có thể do nhiều điều kiện y tế. Hầu hết tràn dịch màng phổi là không nghiêm trọng, nhưng một số cần điều trị để tránh các vấn đề.
Màng phổi là một màng mỏng phủ bề mặt của phổi và bên trong thành ngực bên ngoài phổi. Trong tràn dịch màng phổi, dịch tích tụ trong không gian giữa các lớp của màng phổi. Thông thường, chỉ 5ml chất lỏng có mặt trong khoang màng phổi, cho phép phổi di chuyển thuận lợi trong khoang ngực trong quá trình thở.
Nhiều điều kiện y tế có thể gây tràn dịch màng phổi. Một số nguyên nhân thường gặp là:
- Suy tim sung huyết.
- Viêm phổi.
- Bệnh gan (xơ gan).
- Giai đoạn cuối bệnh thận.
- Hội chứng thận hư.
- Ung thư.
- Tắc mạch phổi.
- Lao phổi.
- Lupus và bệnh tự miễn khác.
Dịch quá nhiều có thể tích lũy vì cơ thể không xử lý dịch đúng cách (như trong sung huyết suy tim, bệnh thận hoặc bệnh gan). Chất dịch trong tràn dịch màng phổi cũng có thể do viêm, như viêm phổi, bệnh tự miễn dịch, và nhiều điều kiện khác.

Trên đây là một số thông tin và hình ảnh về tràn dịch màng phổi, hy vọng sẽ giúp các bạn có thêm những kiến thức để có cách điều trị và sinh hoạt phù hợp, ngăn ngừa hội chứng này xuất hiện.
