Tứ chứng Fallot trên x quang
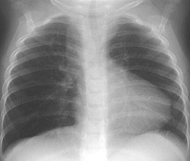
Chụp X-quang ngực có thể cho thấy cấu trúc của tim và phổi. Một trong những triệu chứng điển hình của tứ chứng Fallot trên X-quang là tim hình chiếc giày (Boot-shaped Heart) do tâm thất phải bị phì đại. Cùng eLip tìm hiểu những thông tin ngay dưới đây để hiểu rõ hơn nhé!
Tứ chứng Fallot, là một trong những rối loạn tim bẩm sinh phổ biến nhất, bao gồm tắc nghẽn đường ra thất phải, khiếm khuyết vách liên thất, động mạch chủ cỡi ngựa, và phì đại thất phải. Tỷ lệ tử vong ở những bệnh nhân không được điều trị là 50% vào năm 6 tuổi, nhưng trong thời đại hiện nay phẫu thuật tim trẻ em với các hình thức đơn giản, tứ chứng Fallot tồn tại lâu dài với chất lượng tuyệt vời của cuộc sống.
Các đặc điểm lâm sàng của bộ tứ chứng Fallot có liên quan trực tiếp đến mức độ nghiêm trọng của các khuyết tật giải phẫu. Trẻ sơ sinh thường như sau:
- Khó khăn khi bú.
- Không phát triển.
- Tím tái khi khóc hay.
- Khó thở khi gắng sức, thường xấu đi với tuổi.
- Hầu hết trẻ sơ sinh đều nhỏ hơn so với dự kiến cho tuổi.
- Tím môi và móng tay thường được sau khi sinh.
- Sau tuổi 3 - 6 tháng, các ngón tay và ngón chân dùi trống.
- Thổi tâm thu thường có phía trước dọc cạnh trái xương ức.
- Thổi tâm thu tống máu khu vực van động mạch phổi.
- Trong cơn tím tái, tiếng thổi có thể biến mất.

Trên đây là một số thông tin về Tứ chứng Fallot, hy vọng sẽ giúp các bạn có được những hiểu biết cần thiết trong quá trình thăm khám và chẩn đoán bệnh.
