Bệnh phổi tắc nghẽn mạn tính (COPD) trên x quang
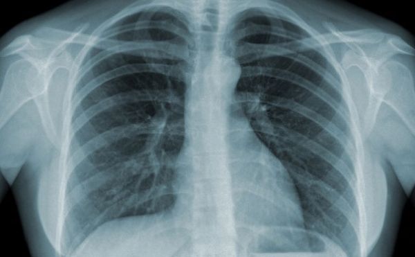
Các triệu chứng phổ biến nhất của COPD là khó thở, sản xuất đờm quá mức, và ho mãn tính. Hình ảnh trên phim chụp x quang ngực gợi ý chẩn đoán bệnh phổi tắc nghẽn mạn tính (COPD). Để hiểu rõ về hội chứng này mời các bạn cùng tham khảo bài viết Bệnh phổi tắc nghẽn mạn tính (COPD) trên x quang.
Bệnh phổi tắc nghẽn mạn tính (COPD) không phải là một bệnh duy nhất mà là một thuật ngữ chung dùng để mô tả các bệnh phổi mạn tính gây ra những hạn chế trong luồng không khí phổi. Viêm phế quản mãn tính, giãn phế nang - thuật ngữ quen thuộc hơn và tràn khí không còn được sử dụng, bây giờ được chẩn đoán COPD.
Các triệu chứng phổ biến nhất của COPD là khó thở, sản xuất đờm quá mức, và ho mãn tính.
Các yếu tố nguy cơ chính gây COPD:
- Hút thuốc lá.
- Ô nhiễm không khí trong nhà.
- Ô nhiễm không khí ngoài trời.
- Bụi nghề nghiệp và hóa chất (hơi, chất kích thích, và khói).

Trên đây là một số thông tin và hình ảnh về bệnh phổi tắc nghẽn mạn tính (COPD) trên x quang, hy vọng sẽ giúp các bạn có những kiến thức cơ bản về bệnh để chẩn đoán và điều trị kịp thời!
