Tràn dịch màng phổi trên hình ảnh
Nếu lượng dịch trong khoang màng phổi nhiều thì chức năng hô hấp sẽ bị cản trở. Tình trạng này gọi là tràn dịch màng phổi. Dịch quá nhiều có thể tích lũy vì cơ thể không xử lý dịch đúng cách, chất dịch trong tràn dịch màng phổi cũng có thể do viêm, như viêm phổi, bệnh tự miễn dịch. Mời các bạn tham khảo bài viết dưới đây để hiểu rõ hơn nhé!
Tràn dịch màng phổi là số lượng bất thường của dịch xung quanh phổi. Tràn dịch màng phổi có thể do nhiều điều kiện y tế. Hầu hết tràn dịch màng phổi là không nghiêm trọng, nhưng một số cần điều trị để tránh các vấn đề.
Màng phổi là một màng mỏng phủ bề mặt của phổi và bên trong thành ngực bên ngoài phổi. Trong tràn dịch màng phổi, dịch tích tụ trong không gian giữa các lớp của màng phổi. Thông thường, chỉ 5ml chất lỏng có mặt trong khoang màng phổi, cho phép phổi di chuyển thuận lợi trong khoang ngực trong quá trình thở.
Nhiều điều kiện y tế có thể gây tràn dịch màng phổi. Một số nguyên nhân thường gặp là:
- Suy tim sung huyết.
- Viêm phổi.
- Bệnh gan (xơ gan).
- Giai đoạn cuối bệnh thận.
- Hội chứng thận hư.
- Ung thư.
- Tắc mạch phổi.
- Lupus và bệnh tự miễn khác.
Dịch quá nhiều có thể tích lũy vì cơ thể không xử lý dịch đúng cách (như trong sung huyết suy tim, bệnh thận hoặc bệnh gan). Chất dịch trong tràn dịch màng phổi cũng có thể do viêm, như viêm phổi, bệnh tự miễn dịch, và nhiều điều kiện khác.

Hình ảnh tràn dịch màng phổi ít có góc sườn hoành trái tù

Hình ảnh tràn dịch màng phổi toàn bộ bên pbổi trái (các cơ quan trung thất bị đẩy hoàn toàn sang phải)
Tràn dịch màng phổi thể nách bên trái, vòm hoành cùng bên bị kéo lên cao do dày dính & xẹp phổi kèm theo

Tràn dịch màng phổi thể hoành bên trái (vòm hoành trái cao & đỉnh vòm hoành bị lệch ra 1/3 ngoài)
Hình ảnh tràn dịch màng phổi thể rãnh liên thuỳ - Hình ảnh chiếc vợt (tràn dịch cả ở rãnh liên thuỳ bé & lớn)
TDMP thể rãnh liên thuỳ bé - ở mủi tên chỉ phái trên
TDMP thể rãnh liên thuỳ lớn - ở mủi tên chỉ phái dưới
Hinh ảnh rãnh liên thuỳ lớn & nhỏ dày lên trong TDMP thể rãnh liên thuỳ
Dịch màng phổi có nhiều fibrin
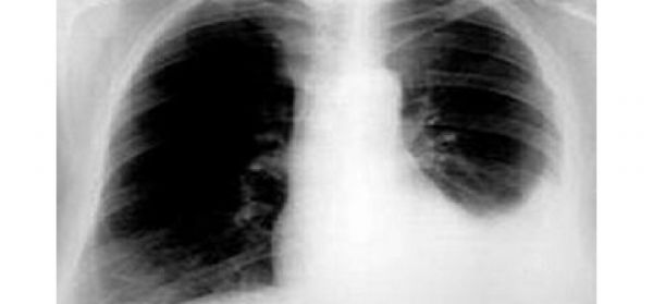
Hình ảnh đường cong Damoiseau trong tràn dịch màng phổi trên phim chụp phổi thẳng, tim bị đẩy nhẹ sang bên phải ở bệnh nhân nữ, 80 tuổi - Tràn dịch màng phổi trái

Hình ảnh đường cong Damoiseau của tràn dịch màng phổi trên phim chụp phổi nghiêng trái ở bệnh nhân nữ, 80 tuổi - Tràn dịch màng trái

Hình ảnh tràn dịch màng phổi hai bên trên phim chụp cắt lớp ngực
Hy vọng với những thông tin và hình ảnh về hội chứng tràn dịch màng phổi trên đây sẽ giúp các bạn có những hiểu biết để có hướng điều trị phù hợp và hiệu quả!
