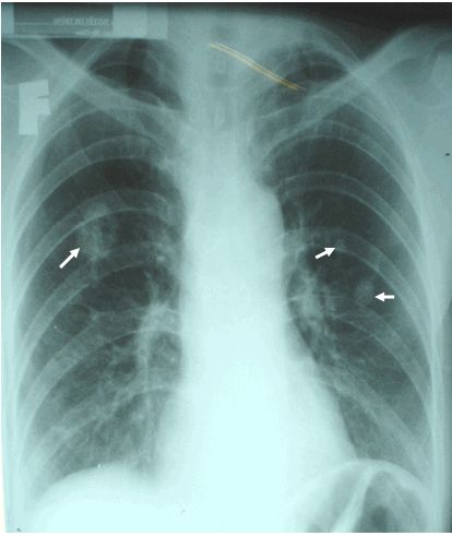
Bệnh bụi phổi (Silicosis) trên phim x quang
Bệnh bụi phổi là do bụi tích lũy trong phổi thông qua quá trình người bệnh hít thở khói bụi bẩn vào trong cơ thể thường xuyên. Vậy trên phim x quang, bệnh bụi phổi được thể hiện như thế nào? Tham khảo bài viết ngay dưới đây để hiểu rõ hơn nhé!
Bệnh bụi phổi là bất kỳ của nhiều bệnh phổi do hít phải nhiều bụi hữu cơ hoặc vô cơ hay hóa chất kích thích, thường trong một khoảng thời gian dài. Các loại và mức độ nghiêm trọng của bệnh phụ thuộc vào thành phần của bụi; số lượng nhỏ của một số chất, đặc biệt là silica và amiang, tạo ra phản ứng nghiêm trọng.
Thông thường, các triệu chứng sớm của bệnh bụi phổi nhẹ bao gồm đau thắt ngực, khó thở và ho, tiến triển đến suy hô hấp nghiêm trọng hơn, mãn tính viêm phế quản và khí phế thũng trong các trường hợp nghiêm trọng nhất. Bụi hít thu thập trong các phế nang hay túi khí, phổi, gây ra phản ứng viêm có thể chuyển đổi mô phổi bình thường đến mô sẹo xơ và do đó làm giảm độ đàn hồi của phổi. Nếu nhiều mô sẹo hình thành, chức năng phổi bị suy giảm nghiêm trọng, và các triệu chứng lâm sàng của bệnh bụi phổi được thể hiện.


Trên đây là một số thông tin và hình ảnh về bệnh bụi phổi trên phim x quang, hy vọng sẽ giúp các bạn có những hiểu biết cơ bản để đề ra hướng chẩn đoán và điều trị bệnh phù hợp!
