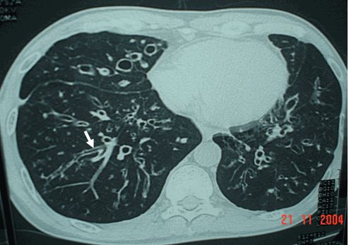
Giãn phế quản phổi phải dạng chùm nho
Giãn phế quản là một sự giãn nở vĩnh viễn và dày lên của đường hô hấp đặc trưng bởi ho mãn tính, tạo đờm quá mức, chế độ tồn tại của vi khuẩn, nhiễm trùng cấp tính và tái phát. Bài viết này sẽ nói rõ hơn về hội chứng Giãn phế quản phổi phải dạng chùm nho. Mời các bạn tham khảo!
Giãn phế quản là một sự giãn nở vĩnh viễn và dày lên của đường hô hấp đặc trưng bởi ho mãn tính, tạo đờm quá mức, chế độ tồn tại của vi khuẩn, nhiễm trùng cấp tính và tái phát. Nó có thể phổ biến rộng rãi trên khắp phổi hoặc một vùng. Nguyên nhân là do tình trạng viêm mạn tính của đường hô hấp, và có liên quan, hoặc gây ra bởi một số lượng lớn các bệnh. Nó có thể phát triển sau khi nhiễm trùng phổi, đặc biệt ở trẻ em và gắn với các vấn đề cơ bản, chẳng hạn như suy giảm miễn dịch và bệnh xơ nang.
Giãn phế quản có thể được phân loại thành các hình thức sau đây về hình thái (cả ba hình thức có thể có mặt trong cùng một bệnh nhân):
- Giãn phế quản hình trụ: phế quản được mở rộng và hình trụ.
- Giãn phế quản suy mạch: hình phế quản là không thường xuyên với các khu vực rộng và thắt.
- Hình túi hoặc nang: giãn phế quản dạng cụm nang. Đây là hình thức nghiêm trọng nhất của giãn phế quản và thường được tìm thấy ở những bệnh nhân bị xơ nang.
Đường hô hấp bị ảnh hưởng đang viêm và dễ dàng suy yếu. Có sự giảm luồng không khí và thoát chất tiết, dẫn đến sự tích tụ số lượng lớn các chất nhầy trong phổi. Chất nhầy thu thập vi khuẩn, nguyên nhân nền để nhiễm trùng đường hô hấp dưới thường xuyên và thường nặng. Mức độ nghiêm trọng của chứng giãn phế quản thường được phân loại theo khối lượng đờm nhưng nay phần lớn được thay thế bằng sự xuất hiện dấu hiệu trên CT scan.

Trên đây là một số thông tin về hội chứng Giãn phế quản phổi phải dạng chùm nho, hy vọng bài viết sẽ giúp các bạn có thêm những hiểu biết cơ bản trong quá trình chẩn đoán và điều trị bệnh!
