Cùng với nhu cầu bảo vệ và chăm sóc sức khỏe của con người ngày càng tăng cao, ngành Xét nghiệm y học đang trở thành một trong những ngành học được nhiều thí sinh và phụ huynh quan tâm. Để đáp ứng nhu cầu tham khảo ngày càng nhiều, eLib đã xây dựng danh mục các tài liệu về Xét nghiệm y tế bao gồm điện tâm đồ và bệnh lý, xét nghiệm máu, các thủ thuật xét nghiệm trong chuẩn đoán và điều trị trong lâm sàng... để giúp có thêm kiến thức, kỹ năng về thực hiện kiểm tra, giám sát các quy chế vô khuẩn, quy định về sử dụng hóa chất và sinh phẩm chuyên dụng. Hi vọng sẽ trở thành nguồn tài liệu hữu ích phục vụ cho công tác nghiên cứu, học tập và làm việc của đội ngũ y - bác sĩ.
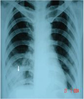
Áp xe phổi là một bệnh nghiêm trọng trong thời đại trước kháng sinh, khi một phần ba số bệnh nhân tử vong, một số phục hồi, và phần còn lại phát triển suy nhược và bệnh áp xe. Để hiểu rõ hơn về bệnh lý này, mời các bạn tham khảo bài viết dưới đây!
Khoảng PR của những nhát bóp dẫn truyền được từ nhĩ xuống thất, P có QRS đi kèm đều bằng nhau và không đổi mặc dù giá trị của nó có thể bình thường hoặc dài hơn bình thường. Tham khảo bài viết ngay dưới đây để hiểu rõ hơn nhé!
Áp xe phổi là một bệnh nghiêm trọng trong thời đại trước kháng sinh, khi một phần ba số bệnh nhân tử vong, một số phục hồi, và phần còn lại phát triển suy nhược và bệnh áp xe tái phát. Để biết rõ hơn về bệnh lý nguy hiểm này, mời các bạn cùng tham khảo bài viết ngay dưới đây!
A, điện tâm đồ ECG nghỉ ngơi với block nhánh phải. B, ECG khi tập thể dục với block nhĩ thất 2 trên 1, Các mũi tên chỉ sóng P dẫn của mỗi nhịp thứ hai. C, ghi lại bó His. Để hiểu rõ hơn Block nhánh phải kèm block nhĩ thất cấp II trên điện tâm đồ, mời các bạn tham khảo bài viết dưới đây!
Bệnh nhân có block nhĩ thất cấp ba có nguy cơ cao ngừng thất và đột tử do tim. Để hiểu thêm về bệnh lý này, mời các bạn tham khảo bài viết sau đây.
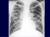
Hình ảnh áp xe phổi phải có mức nước mức hơi trên phim chụp x quang phổi thẳng được thể hiện như thế nào? Mời các bạn tham khảo bài viết dưới đây để hiểu rõ hơn nhé!
Hội chứng Wolff Parkinson White là một hội chứng tim nhanh không thường xuyên ở bệnh nhân có khoảng PR ngắn và QRS rộng trên điện tâm đồ (ECG). Vậy hội chứng này thể hiện trên điện tâm đồ như thế nào? Cùng eLip tìm hiểu ngay những thông tin dưới đây để hiểu rõ hơn nhé!
Hen suyễn là một bệnh ảnh hưởng đến đường hô hấp - mang không khí vào và ra khỏi phổi. Những người bị bệnh mãn tính này (kéo dài hoặc tái phát) được cho là hen suyễn. Để hiểu rõ hơn về bệnh lý này, mời các bạn cùng tham khảo bài viết ngay sau đây!
Block nhánh là một danh từ để chỉ hình ảnh điện tâm đồ khi có những rối loạn về dẫn truyền xung động trong một nhánh của bó His. Để hiểu rõ hơn về Block nhánh trên điện tâm đồ, mời các bạn cùng tham khảo bài viết dưới đây!
Giãn phế quản là bệnh giãn thường xuyên không hồi phục của một hay nhiều phế quản từ cấp 3 đến cấp 8 kèm theo phá huỷ cấu trúc thành phế quản. Để hiểu rõ hơn về hội chứng này, mời các bạn cùng tham khảo bài viết sau đây nhé!
Nếu không có bệnh tim gì khác, có thể không cảm thấy bất kỳ triệu chứng của block nhánh. Trong thực tế, một số người có thể bị block nhánh trong nhiều năm và không bao giờ biết rằng họ có nó. Để hiểu rõ hơn về bệnh lý này, mời các bạn cùng tham khảo những thông tin dưới đây nhé!
Giãn phế quản là một sự giãn nở vĩnh viễn và dày lên của đường hô hấp đặc trưng bởi ho mãn tính, tạo đờm quá mức, chế độ tồn tại của vi khuẩn, nhiễm trùng cấp tính và tái phát. Để hiểu rõ hơn về bệnh lý này, mời các bạn cùng tham khảo bài viết dưới đây nhé!
Block nhánh có thể bị gây ra bởi bệnh động mạch vành, bệnh cơ tim, hoặc bệnh van tim. Block nhánh cũng có thể xảy ra trong một trái tim khỏe mạnh. Để hiểu rõ hơn về hội chứng này, mời các bạn cùng tham khảo bài viết dưới đây nhé!
Giãn phế quản (GPQ) là tình trạng tăng khẩu kính phế quản liên tục, vĩnh viễn không hồi phục của một hoặc nhiều phế quản có đường kính trên 2 mm. GPQ được chia thành: GPQ hình túi, GPQ hình trụ và GPQ hình tràng hạt. Bài viết dưới đây sẽ cung cấp một số thông tin về Giãn phế quản hình trụ. Mời các bạn tham khảo!
Block nhánh có thể bị gây ra bởi bệnh động mạch vành, bệnh cơ tim, hoặc bệnh van tim. Block nhánh cũng có thể xảy ra trong một trái tim khỏe mạnh. Bài viết này sẽ nói rõ hơn về hội chứng Block nhánh trái với tổn thương cấp vùng trước vách, mời các bạn tham khảo!
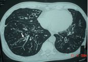
Giãn phế quản là một sự giãn nở vĩnh viễn và dày lên của đường hô hấp đặc trưng bởi ho mãn tính, tạo đờm quá mức, chế độ tồn tại của vi khuẩn, nhiễm trùng cấp tính và tái phát. Bài viết này sẽ nói rõ hơn về hội chứng Giãn phế quản phổi phải dạng chùm nho. Mời các bạn tham khảo!
Nhồi máu cơ tim là do sự tắc nghẽn hoàn toàn một hoặc nhiều nhánh động mạch vành dẫn đến thiếu máu cơ tim đột ngột và hoại tử vùng cơ tim được tưới máu bởi động mạch vành đó. Vậy Nhồi máu cơ tim cấp vùng thành dưới được thể hiện như thế nào trên điện tâm đồ? Mời các bạn tham khảo bài viết ngay dưới đây để hiểu rõ hơn nhé!
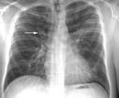
Giãn phế quản là một sự giãn nở vĩnh viễn và dày lên của đường hô hấp đặc trưng bởi ho mãn tính, tạo đờm quá mức, chế độ tồn tại của vi khuẩn, nhiễm trùng cấp tính và tái phát. Bài viết này sẽ nói rõ hơn về hội chứng giãn phế quản trên phim chụp x quang phổi chuẩn. Mời các bạn tham khảo!
Hệ thống dẫn truyền điện tim được hoạt động như thế nào? Bài viết này sẽ chỉ ra sơ đồ dẫn và cấp máu của hệ thống dẫn truyền điện tim. Mời các bạn tham khảo!
Mức độ nghiêm trọng của chứng giãn phế quản thường được phân loại theo khối lượng đờm nhưng nay phần lớn được thay thế bằng sự xuất hiện dấu hiệu trên CT scan. Cùng tham khảo bài viết dưới đây để hiểu rõ hơn về hội chứng này nhé!