Cùng với nhu cầu bảo vệ và chăm sóc sức khỏe của con người ngày càng tăng cao, ngành Xét nghiệm y học đang trở thành một trong những ngành học được nhiều thí sinh và phụ huynh quan tâm. Để đáp ứng nhu cầu tham khảo ngày càng nhiều, eLib đã xây dựng danh mục các tài liệu về Xét nghiệm y tế bao gồm điện tâm đồ và bệnh lý, xét nghiệm máu, các thủ thuật xét nghiệm trong chuẩn đoán và điều trị trong lâm sàng... để giúp có thêm kiến thức, kỹ năng về thực hiện kiểm tra, giám sát các quy chế vô khuẩn, quy định về sử dụng hóa chất và sinh phẩm chuyên dụng. Hi vọng sẽ trở thành nguồn tài liệu hữu ích phục vụ cho công tác nghiên cứu, học tập và làm việc của đội ngũ y - bác sĩ.
Sóng P trên điện tâm đồ được định nghĩa là độ lệch dương đầu tiên hay sóng dương đầu tiên xuất hiện trên một điện tâm đồ, phản ánh sự khử cực tâm nhĩ. Vậy hình thái học bề mặt sóng P được thể hiện như thế nào trên điện tâm đồ? Mời các bạn cùng tham khảo bài viết dưới đây nhé!
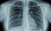
Viêm phế quản cấp tính có thể chịu trách nhiệm cho ho khan và đờm, đôi khi đi kèm với viêm đường hô hấp. Bài viết này sẽ nói rõ hơn về hội chứng Viêm phế quản cấp trên x quang chuẩn. Mời các bạn tham khảo!
Hội chứng Chèn ép màng ngoài tim được thể hiện như thế nào trên điện tâm đồ? Tham khảo bài viết ngay dưới đây để hiểu rõ hơn nhé!
Bệnh nhân bị bệnh phổi kẽ có thể thấy các triệu chứng như sau: cảm giác khó thở, đặc biệt là trong hoặc sau khi lao động hay hoạt động thể lực vừa và nặng; ho khan. Bài viết này sẽ nói rõ hơn về hội chứng Viêm phổi kẽ trên phim CT scaner. Mời các bạn tham khảo!
Chuyển dịch trục sang trái là do block nhánh trái trước. Để hiểu rõ hơn về Trục điện tim lệch trái trên điện tâm đồ mời các bạn cùng tham khảo một số thông tin dưới đây nhé!
Viêm phổi do sặc xăng dầu tuy là bệnh hiếm gặp - chủ yếu xảy ra với những người thợ lái máy công trình do không tuân thủ an toàn lao động đã dùng miệng hút xăng, dầu bị sặc, nhưng lại gây hậu quả tổn thương phổi nặng nề. Cùng eLip tìm hiểu ngay bài viết dưới đây để hiểu rõ hơn nhé!
Bài viết này sẽ nói về hội chứng Block nhánh phải với phì đại thất phải. Mời các bạn xem!
Tăng gánh thất là tình trạng ứ máu nhiều ở tâm thất làm cho nó tăng gánh nặng công việc, do đó nó dày lên và giãn ra. Còn gọi là hội chứng dày thất. Cùng tìm hiểu bài viết ngay sau đây để hiểu rõ hơn về Phì đại tâm thất phải và trái (hai thất) trên điện tâm đồ!
Viêm phổi là một bệnh nhiễm trùng phổi do vi khuẩn, virus, nấm, hoặc ký sinh trùng. Bài viết dưới đây sẽ nói chi tiết về hội chứng Viêm phổi gây tràn dịch màng phổi ở bệnh nhân Collagenose. Mời các bạn tham khảo!
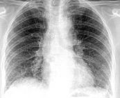
Viêm phổi là một bệnh nhiễm trùng phổi do vi khuẩn, virus, nấm, hoặc ký sinh trùng gây nên. Bài viết này sẽ tìm hiểu rõ hơn về viêm phổi điển hình. Mời các bạn tham khảo!
Cơ chế chủ yếu của nhồi máu cơ tim cấp là do sự không ổn định và nứt ra của mảng xơ vữa, trên cơ sở đó huyết khối hình thành gây lấp toàn bộ lòng mạch. Để hiểu rõ hơn về hội chứng Giả nhồi máu cơ tim vùng sau dưới trên điện tâm đồ, mời các bạn cùng tham khảo qua bài viết dưới đây!
Tăng gánh thất là tình trạng ứ máu nhiều ở tâm thất làm cho nó tăng gánh nặng công việc, do đó nó dày lên và giãn ra. Còn gọi là hội chứng dày thất. Vậy Phì đại tâm thất trái giả nhồi máu cơ tim vùng trước vách được thể hiện như thế nào trên điện tâm đồ? Tham khảo bài viết dưới đây để hiểu rõ hơn nhé!
Viêm phổi thuỳ là một bệnh tổn thương phổi, do nhiễm khuẩn thường gặp ở trẻ lớn, và người lớn do nhiều loại vi khuẩn, virus và có thể cả kí sinh trùng gây nên. Vậy hình ảnh viêm phổi thuỳ đỉnh phổi phải được thể hiện như thế nào? Cùng eLip tìm hiểu bài viết dưới đây để hiểu rõ hơn nhé!
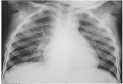
Viêm phổi là một bệnh nhiễm trùng phổi do vi khuẩn, virus, nấm, hoặc ký sinh trùng. Vậy trên hình ảnh viêm thuỳ giữa phổi phải được thể hiện như thế nào? Tham khảo bài viết dưới đây để hiểu rõ hơn nhé!
Nhồi máu cơ tim cấp là một cấp cứu tối khẩn. Mặc dù đã có rất nhiều tiến bộ trong công tác hồi sức cấp cứu và can thiệp mạch vành, tỷ lệ tử vong do nhồi máu cơ tim cấp vẫn còn cao. Cùng eLip tham khảo bài viết dưới đây để hiểu rõ hơn về hội chứng nhồi máu cơ tim vùng trước vách trong sự hiện diện của block nhánh phải.
Có nhiều phương pháp chẩn đoán nhồi máu cơ tim được sử dụng hiện nay, trong đó điện tâm đồ là phương pháp được sử dụng phổ biến nhờ vai trò quan trọng trong việc phân biệt giai đoạn tối cấp, cấp hay đã ổn định của nhồi máu cơ tim. Bài viết này sẽ nói rõ hơn về hội chứng Nhồi máu cơ tim vùng trước bên trên điện tâm đồ. Mời các bạn tham khảo!
Các triệu chứng phổ biến nhất của COPD là khó thở, sản xuất đờm quá mức, và ho mãn tính. Hình ảnh trên phim chụp x quang ngực gợi ý chẩn đoán bệnh phổi tắc nghẽn mạn tính (COPD). Để hiểu rõ về hội chứng này mời các bạn cùng tham khảo bài viết Bệnh phổi tắc nghẽn mạn tính (COPD) trên x quang.
Có nhiều phương pháp chẩn đoán nhồi máu cơ tim được sử dụng hiện nay, trong đó điện tâm đồ là phương pháp được sử dụng phổ biến nhờ vai trò quan trọng trong việc phân biệt giai đoạn tối cấp, cấp hay đã ổn định của nhồi máu cơ tim. Bài viết này sẽ nói rõ hơn về hội chứng Nhồi máu cơ tim vùng sau dưới tiến triển trên điện tâm đồ. Mời các bạn tham khảo!
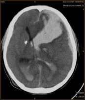
Xuất huyết não thất được coi như một hiện tượng thứ phát do chảy máu não vỡ hoặc chảy máu nhu mô não vào khoang não thất. Đây là một trong những bệnh lý gây tử vong cao. Chẩn đoán và điều trị sớm bệnh sẽ giúp nâng cao cơ hội sống cho bệnh nhân. Để hiểu rõ hơn về hội chứng nguy hiểm này, mời các bạn tham khảo bài viết dưới đây!
Xuất huyết nhân bèo trái là một trong những bệnh lý rất nguy hiểm. Để hiểu rõ hơn mời các bạn cùng tham khảo bài viết ngay dưới đây nhé!