Cùng với nhu cầu bảo vệ và chăm sóc sức khỏe của con người ngày càng tăng cao, ngành Xét nghiệm y học đang trở thành một trong những ngành học được nhiều thí sinh và phụ huynh quan tâm. Để đáp ứng nhu cầu tham khảo ngày càng nhiều, eLib đã xây dựng danh mục các tài liệu về Xét nghiệm y tế bao gồm điện tâm đồ và bệnh lý, xét nghiệm máu, các thủ thuật xét nghiệm trong chuẩn đoán và điều trị trong lâm sàng... để giúp có thêm kiến thức, kỹ năng về thực hiện kiểm tra, giám sát các quy chế vô khuẩn, quy định về sử dụng hóa chất và sinh phẩm chuyên dụng. Hi vọng sẽ trở thành nguồn tài liệu hữu ích phục vụ cho công tác nghiên cứu, học tập và làm việc của đội ngũ y - bác sĩ.
Cuồng nhĩ điển hình ngược chiều kim là hình thức phổ biến nhất của rung nhĩ, gặp 90% trường hợp điển hình. Để hiểu rõ hơn về hội chứng này, mời các bạn cùng tham khảo bài viết dưới đây nhé!
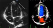
Tiến hành thăm dò mặt cắt từ mỏm được nhận xét là sẽ khó hơn nhưng kỹ thuật này có tác dụng trong so sánh kích thước buồng thất và là cửa sổ tốt nhất nhằm đánh giá những bất thường về vận động ở vùng vách liên thất và thành tim. Dưới đây là hình ảnh mặt cắt siêu âm quét 4 buồng từ mỏm tim trong siêu âm tim bẩm sinh. Mời các bạn tham khảo!
Thăm dò vị trí mặt cắt cạnh ức trục ngắn giúp thu được hình ảnh bằng cách xoay đầu dò một góc 90 độ thuận chiều kim đồng hồ, sau đó quét đầu dò từ đáy tim lên đến mỏm tim để thu được các mặt cắt ngang khác nhau. Dưới đây là hình ảnh về mặt cắt quét dưới mũi ức trục ngắn trong siêu âm tim bẩm sinh. Mời các bạn tham khảo!
Cuồng động nhĩ (atrial flutter) là một hình thái nhịp nhanh trên thất khá hay gặp và thường không tồn tại lâu dài vì có xu hướng chuyển về nhịp xoang hoặc chuyển sang rung nhĩ. Bài viết này sẽ nói rõ hơn về hội chứng cuồng động nhĩ đảo ngược điển hình hoặc xuất hiện theo chiều kim đồng hồ. Mời các bạn tham khảo!
Siêu âm tim là phương pháp chẩn đoán hình ảnh không xâm lấn, an toàn và được sử dụng rất phổ biến trong xác định những bất thường của tim. Dưới đây là hình ảnh về mặt cắt quét dưới mũi ức trục dài trong siêu âm tim. Mời các bạn tham khảo!
Nhịp Ashman được mô tả như phức bộ QRS dãn rộng theo sau là một khoảng RR ngắn trước đó là khoảng thời gian RR dài. Vậy trên điện tâm đồ, hiện tượng Ashman được thể hiện như thế nào? Tham khảo bài viết ngay dưới đây để hiểu rõ hơn nhé!
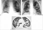
Viêm phổi là một bệnh nhiễm trùng phổi phổ biến gây ra bởi vi khuẩn, virus hoặc nấm. Bài viết này sẽ nói rõ về bệnh lý viêm phổi nocardiosis ở người ghép thận. Mời các bạn tham khảo!
Rung nhĩ là tình trạng nhĩ không bóp nữa mà từng thớ của nó rung lên do tác động của những xung động rất nhanh (400 đến 600/ phút) và rất không đều. Vậy trên điện tâm đồ, hội chứng này được thể hiện như thế nào? Tham khảo bài viết dưới đây để hiểu rõ hơn nhé!
Viêm phổi là một trong những bệnh nhiễm trùng cơ hội nghiêm trọng nhất đối với những người nhiễm HIV. Tần suất viêm phổi do Pneumocystis trên người nhiễm HIV ở giai đoạn AIDS là rất cao. Cùng eLip tìm hiểu rõ hơn với những thông tin dưới bài viết nhé!
Rung nhĩ (RN) là một trong những rối loạn nhịp rất thường gặp, chiếm khoảng 0,4 - 1,0% trong cộng đồng và gặp ở khoảng 10% số người trên 80 tuổi. Cùng eLip tìm hiểu bài viết dưới đây để hiểu rõ hơn về rung nhĩ và đường dẫn truyền phụ qua trung gian thoái hóa thành rung thất.
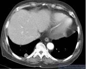
Thuyên tắc mạch phổi là căn bệnh thường gặp với tỷ lệ tử vong khoảng 30% nếu không được phát hiện và điều trị sớm. Để hiểu rõ hơn về bệnh lý này, mời các bạn cùng tham khảo bài viết ngay sau đây!
Rung nhĩ là nhịp tim bất thường và thường có nhịp thất nhanh, gây giảm lượng máu đến mô cơ thể. Bài viết này sẽ nói cụ thể về hội chứng rung nhĩ điển hình ngược chiều kim đồng trên điện tâm đồ. Mời các bạn tham khảo!
Viêm phổi sặc là tình trạng nhiễm trùng phổi khi một lượng dị vật từ miệng hoặc dạ dày đi vào phổi. Triệu chứng viêm phổi sặc thường gặp là sốt, ho xảy ra tương đối cấp tính. Để hiểu rõ hơn về bệnh lý này, mời các bạn cùng tham khảo bài viết dưới đây!
Nhịp tim nhanh không cho phép đủ thời gian cho tim đủ máu trước khi co bóp nên lưu lượng máu đến các phần còn lại của cơ thể bị tổn hại. Bài viết này sẽ nói rõ hơn về Nhịp nhanh nhĩ RP dài sóng P đảo ngược, mời các bạn tham khảo!
Viêm phổi do sặc thức ăn là khi các chất này vào phổi có thể gây nhiễm trùng phổi, tổn thương nhu mô phổi do chứa một lượng lớn vi khuẩn gây bệnh. Để hiểu rõ hơn về hội chứng này, mời các bạn cùng tham khảo bài viết sau đây!
Nhịp tim nhanh do vòng vào lại nút AV, AVNRT là nguyên nhân phổ biến nhất của nhịp tim nhanh trên thất (SVT), phổ biến ở phụ nữ hơn ở nam giới và hiện tất cả các nhóm tuổi. Cùng eLip tham khảo bài viết dưới đây để hiểu rõ hơn về hội chứng này nhé!
Viêm phổi bệnh viện là viêm phổi xảy ra sau 48 giờ nhập viện mà trước đó không có triệu chứng hô hấp hay nhiễm trùng và không có tổn thương mới hay tiến triển trên X quang ngực trước 48 giờ nhập viện. Để hiểu rõ hơn về hội chứng này, mời các bạn cùng tham khảo bài viết dưới đây nhé!
Nhịp tim nhanh vào lại nhĩ thất (AVRT) với đường phụ bên trái và dẫn truyền bình thường qua nhánh trái (bên trái); AVRT với cùng con đường phụ trái và block nhánh trái (trên bên phải). Tham khảo bài viết dưới đây để hiểu rõ hơn về hội chứng này nhé!
Viêm tiểu phế quản được định nghĩa là tổn thương viêm cấp ở các tiểu phế quản, các đường dẫn khí có đường kính nhỏ hơn 2mm. Bài viết này sẽ nói rõ hơn về Viêm tiểu phế quản cấp tính do Mycoplasma pneumoniae, mời các bạn tham khảo!
Nhịp tim hơn 100 nhịp mỗi phút (BPM) ở người lớn được gọi là nhịp tim nhanh. Những gì là quá nhanh có thể phụ thuộc vào tuổi và tình trạng thể chất. Bài viết này sẽ nói rõ hơn về hội chứng Nhịp tim nhanh do vào lại thuận chiều và ngược chiều. Mời các bạn tham khảo!