Khí hậu thay đổi khiến cơ thể của bạn dễ mắc bệnh hơn. Trong đó có viêm phổi, một căn bệnh rất phổ biến ngày này khi chất lượng không khí môi trường ngày càng đi xuống. Hãy cùng tìm cách phòng tránh căn bệnh này qua bài viết sau đây.
Bệnh phổi kẽ chỉ một nhóm lớn các rối loạn đặc trưng bởi sẹo tiến triển của các mô phổi nằm giữa cũng như hỗ trợ túi khí. Các sẹo liên quan đến bệnh phổi kẽ có thể khiến cho phổi bị cứng, sau cùng ảnh hưởng đến khả năng thở và hấp thụ oxy vào máu. Vậy triệu chứng của bệnh lý này là gì? Làm thế nào để điều trị và phòng ngừa bệnh hiệu quả? Tham khảo bài viết dưới đây để hiểu rõ hơn nhé!
Bệnh ung thư phổi không tế bào nhỏ xảy ra khi các tế bào ác tính (ung thư) hình thành trong các mô của phổi, chiếm 85% ca ung thư phổi. Vậy làm thế nào để điều trị và phòng ngừa bệnh hiệu quả? Tham khảo bài viết dưới đây để hiểu rõ hơn nhé!
Bệnh bụi phổi silic là một tình trạng do cơ thể hít phải quá nhiều silic trong thời gian dài. Silic là một loại khoáng chất giống như pha lê, thường có trong cát, đá và thạch anh. Silic có thể gây tử vong cho những người thường làm việc với đá, bê tông, thủy tinh hoặc các dạng đá khác. Bài viết dưới đây sẽ nói rõ hơn về triệu chứng, nguyên nhân và cách điều trị của bệnh, mời các bạn tham khảo!
Hẹp động mạch phổi là khuyết tật tim bẩm sinh, khi đó van động mạch phối cho phép máu ra khỏi tim đến phổi của trẻ, có cấu tạo không bình thường. Vậy nguyên nhân và triệu chứng của bệnh là gì? Làm thế nào để điều trị và phòng ngừa bệnh hiệu quả? Tham khảo bài viết dưới đây để hiểu rõ hơn nhé!
Áp xe phổi là bệnh nhiễm trùng phổi. Bệnh gây ra tình trạng sưng mủ, hoại tử mô phổi...Tìm hiểu nguyên nhân, triệu chứng và phương pháp điều trị bệnh hiệu quả vơi bài viết dưới đây nhé!
Hội chứng tăng thông khí phổi còn được gọi là thở nhanh sâu, thở quá nhiều hay nhịp hô hấp (hoặc thở) - nhanh và sâu. Hội chứng tăng thông khí phổi dẫn đến các triệu chứng như cảm giác lâng lâng, ngứa ran ở các ngón tay và có thể dẫn đến mất ý thức. Bài viết dưới đây sẽ nói rõ hơn về triệu chứng, nguyên nhân và cách điều trị của bệnh, mời các bạn tham khảo!
Hội chứng Goodpasture là một rối loạn tự miễn dịch rất hiếm gặp, dường như ảnh hưởng đến nam giới thường xuyên hơn so với nữ giới. Tuổi khởi phát thường từ 20-30, nhưng mọi lứa tuổi đều có thể bị ảnh hưởng.Vậy nguyên nhân và triệu chứng của bệnh là gì? Phương pháp điều trị và phòng ngừa nào là hiệu quả? Tham khảo ngay bài viết dưới đây để hiểu rõ hơn nhé!
Bệnh lao là một bệnh lây nhiễm, trong đó phổ biến nhất là lao phổi. Thực tế, hiện nay nhiều người dùng từ “lao” và “lao phổi” để thay thế cho nhau. Vậy bệnh lao phổi có nguy hiểm không? Làm thế nào để điều trị lao phổi? Mời bạn tham khảo bài viết sau đây.
Bệnh viêm trung thất là thuật ngữ dùng để mô tả tất cả tình trạng viêm xảy ra ở mô liên liên kết của các cấu trúc trong trung thất và màng phổi. Do vai trò quan trọng của khu vực này, tình trạng viêm xảy ra tại đây có liên quan đáng kể đến nhiều bệnh nghiêm trọng, có thể gây tử vong. Để hiểu rõ hơn về bệnh lý này, mời các bạn tham khảo bài viết dưới đây!
Hội chứng Kartagener là một bệnh di truyền hiếm gặp gây ra do một đột biến có thể xảy ra trên nhiều gen khác nhau. Tình trạng này gây ra những bất thường trong đường hô hấp được gọi là rối loạn vận động lông mao nguyên phát. Bài viết dưới đây sẽ nói rõ hơn về triệu chứng, nguyên nhân và cách điều trị của hội chứng này, mời các bạn tham khảo!
Hội chứng Löffler (một dạng bệnh phổi tăng bạch cầu eosin) là bệnh lý đặc trưng bởi các triệu chứng vắng mặt hoặc các triệu chứng hô hấp nhẹ (thường ho khan), phổi mờ rải rác thoáng qua và bạch cầu ưa eosin trong máu ngoại vi. Để hiểu rõ hơn về bệnh lý này, mời các bạn tham khảo bài viết dưới đây!
Hội chứng Pancoast là thuật ngữ được đặt cho một loại ung thư phổi. Các khối u Pancoast là một loại ung thư tế bào hiếm gặp, chiếm dưới 5% tổng số ung thư phổi. Khối u Pancoast có thể gây áp lực lên dây thần kinh ở phần ngực trên, cổ, mặt và cánh tay. Bài viết dưới đây sẽ nói rõ hơn về triệu chứng, nguyên nhân và cách điều trị của bệnh, mời các bạn tham khảo!
Bệnh lao kê là một dạng bệnh lao đặc trưng bởi các tổn thương nhỏ với kích thước 1–5 mm lan khắp cơ thể. Bệnh lao kê có thể lây nhiễm bất kỳ cơ quan nào như phổi, gan và lá lách. Vậy nguyên nhân và triệu chứng của bệnh là gì? Làm cách nào để chữa trị bệnh hiệu quả? Tham khảo ngay bài viết dưới đây để hiểu rõ hơn nhé!
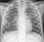
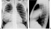
Trong những căn bệnh nhiễm trùng đường hô hấp dưới, viêm phổi có thể xem là vấn đề sức khỏe phổ biến nhất. Theo thống kê, mỗi năm có đến hàng triệu người trên thế giới tử vong vì tình trạng này. Bài viết dưới đây sẽ nói rõ hơn về triệu chứng, nguyên nhân và cách điều trị của bệnh, mời các bạn tham khảo!
Viêm mủ màng phổi là hiện tượng tập hợp mủ trong khoang màng phổi. Viêm mủ màng phổi là bệnh phức tạp, đa dạng và có thể gây nguy hiểm cho người bệnh. Vì thế cần nhanh chóng xác định triệu chứng để có phác đồ điều trị phù hợp. Tham khảo bài viết sau đây để hiểu rõ hơn nhé!
Viêm màng phổi là tình trạng viêm xuất hiện ở màng phổi. Viêm màng phổi gây đau ngực và cơn đau sẽ tăng lên khi bạn hít thở. Vậy nguyên nhân và triệu chứng của bệnh là gì? Làm cách nào để chữa trị bệnh hiệu quả? Tham khảo ngay bài viết dưới đây để hiểu rõ hơn nhé!
Bệnh nấm Coccidioidomycosis hay sốt thung lũng là bệnh gây ra bởi nấm Coccidioides và bất cứ ai tiếp xúc với loại nấm này đều có nguy cơ nhiễm bệnh rất cao. Hãy cùng eLib tìm hiểu rõ hơn về triệu chứng, nguyên nhân và các điều trị bệnh này nhé. Đồng thời các bạn đừng quên bỏ qua chi tiết "chế độ sinh hoạt phù hợp" để ngăn chặn bệnh hiệu quả nhé.
Bệnh sử và khám thực thể bệnh phổi tắc nghẽn mãn tính (COPD) giúp bác sĩ chẩn đoán được bệnh phổi tắc nghẽn mãn tính. Dưới đây là một số thông tin về quy trình thực thực hiện và những lưu ý cần biết khi khám bệnh, mời các bạn tham khảo!
Xét nghiệm kháng thể kháng Jo-1 là xét nghiệm nhằm chẩn đoán chính xác bệnh viêm phổi kẽ tự miễn và viêm cơ tự miễn nặng. Vậy để thực hiện xét nghiệm này cần lưu ý những gì? Tham khảo bài viết dưới đây để hiểu rõ hơn nhé!