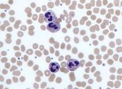
Bệnh bạch cầu cấp là ung thư mô tạo máu bao gồm tủy xương và hệ thống mạch bạch huyết. Khi bạn bị bệnh bạch cầu nói chung và bệnh bạch cầu cấp nói riêng thì tủy xương bắt đầu tạo ra nhiều tế bào bạch cầu bất thường. Mời các bạn tham khảo bài viết dưới đây để hiểu rõ hơn nhé!
Bệnh bạch biến là bệnh thường gặp ở da khiến cho da bị mất màu. Màu da bị mất theo từng mảng, thường ở mặt sau của bàn tay, mặt và nách. Mời các bạn tham khảo bài viết dưới đây để hiểu rõ hơn nhé!
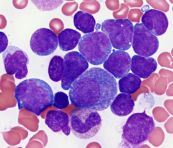
Bệnh bạch cầu cấp dòng lympho là một loại ung thư máu và xương. Bệnh được chia thành hai loại: cấp tính và mãn tính. Bệnh bạch cầu cấp dòng lympho phát triển rất nhanh và đột ngột, ảnh hưởng đến quá trình phát triển các tế bào máu. Cùng eLib.VN tìm hiểu bài viết dưới đây để hiểu rõ hơn nhé!
Bệnh bạch cầu cấp dòng tủy là một loại ung thư mà phần mô mềm trong xương gây ra bất thường ở các nguyên tủy bào, tế bào hồng cầu hay tiểu cầu. Cùng eLib.VN tìm hiểu bài viết dưới đây để hiểu rõ hơn nhé!
Bệnh bạch cầu đơn nhân là một bệnh nhiễm virus, gây sốt, đau họng và nổi hạch. Bệnh này còn được gọi là bệnh truyền nhiễm mono hoặc “bệnh hôn” vì được lây truyền chủ yếu qua tiếp xúc với nước bọt người bệnh hoặc qua ho, hắt hơi,… Cùng eLib.VN tìm hiểu bài viết dưới đây để hiểu rõ hơn nhé!
Tìm hiểu về triệu chứng, nguyên nhân, chẩn đoán, điều trị, thuốc, chế độ ăn uống, theo dõi và phòng chống bệnh bạch cầu đơn nhân nhiễm trùng trên eLib.VN.
Bệnh bạch cầu tăng lympho bào cấp tính là một dạng của bệnh bạch cầu cấp tính (tình trạng nghiêm trọng liên quan đến sự phát triển không bình thường của bạch cầu). Tuy nhiên, cũng có thể xem bệnh bạch cầu tăng lympho bào cấp tính như là khuôn mẫu để tiếp cận các dạng ung thư bạch cầu khác (như bệnh Hodgkin). Mời các bạn tham khảo bài viết dưới đây để hiểu rõ hơn nhé!
Bầm tím mắt là tình trạng bầm các mô dưới da xung quanh mắt. Hầu hết các tình trạng bầm tím thường nhẹ và sẽ hết trong 1-2 tuần. Mời các bạn tham khảo bài viết dưới đây để hiểu rõ hơn nhé!
Bệnh bạch cầu tế bào tóc là một loại hiếm gặp của bệnh ung thư máu (bệnh ác tính). Đây là một căn bệnh thuộc tế bào B hoặc tế bào lympho, một loại tế bào bạch cầu. Mời các bạn tham khảo bài viết dưới đây để hiểu rõ hơn nhé!
Khi tiếp xúc trực tiếp với tia cực tím từ ánh nắng mặt trời hay các nguồn chiếu sáng phát ra bức xạ cực tím khác đều có thể khiến bạn bị bỏng giác mạc do tia cực tím. Hiện tượng này cũng giống như cháy nắng trên da nhưng chúng gây tổn thương đến lớp giác mạc bên ngoài mắt. Cùng eLib.VN tìm hiểu bài viết dưới đây để hiểu rõ hơn nhé!
Thông tim là một phương pháp khá phổ biến, được sử dụng để chẩn đoán các bệnh về tim mạch.Hãy cùng eLib tìm hiểu thêm về căn bệnh này.
Phẫu thuật thay van thường được thực hiện khi có tổn thương van nghiêm trọng hoặc bất kỳ bệnh van nào đe dọa đến tính mạng. Mời các bạn cùng tìm hiểu thêm cùng eLib
Tìm hiểu về Mẹo ăn uống tốt cho tim mạch khi đi làm bao gồm: nguyên nhân, nguy cơ, triệu chứng, cách chẩn đoán, điều trị và kiểm soát bệnh hiệu quả cùng với eLib nha
Xét nghiệm men tim được dùng để đo mức độ tổn thương và chết của các tế bào cơ tim. Xét nghiệm xác định được mức độ tổn thương bằng cách đo nồng độ một số enzym và protein được tiết ra khi tế bào cơ tim bị chết và được gọi là men tim. Mời các bạn cùng tham khảo thêm
Tìm hiểu về Đặt ống thông tim bao gồm: nguyên nhân, nguy cơ, triệu chứng, cách chẩn đoán, điều trị và kiểm soát bệnh hiệu quả cùng với eLib nhé!