Tìm kháng thể kháng màng đáy cầu thận

Cùng tìm hiểu về tìm kháng thể kháng màng đáy cầu thận bao gồm: nguyên nhân, nguy cơ, triệu chứng, cách chẩn đoán, để điều trị và kiểm soát bệnh hiệu quả nhất nhé

Tìm kháng thể kháng màng đáy cầu thận

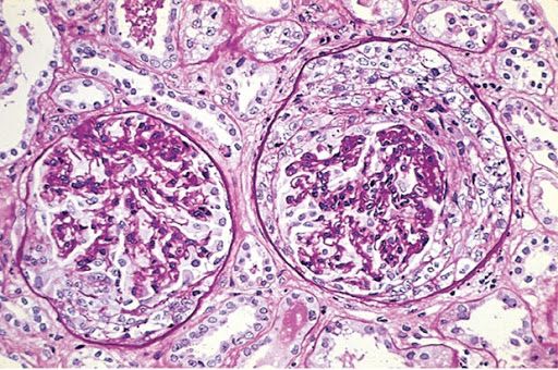
Tên kĩ thuật y tế: Xét nghiệm tìm kháng thể kháng màng đáy cầu thận (anti-GBM).

Bộ phận cơ thể/Mẫu thử: Máu/Quan sát tế bào mô của phổi hoặc thận dưới kính hiển vi.

1. Tìm hiểu chung

Xét nghiệm tìm kháng thể kháng màng đáy cầu thận là gì?

Xét nghiệm tìm kháng thể kháng màng đáy cầu thận nhằm chẩn đoán hội chứng Goodpasture và viêm thận. Hội chứng Goodpasture là một rối loạn về miễn dịch, nó làm xuất hiện các kháng thể chống lại màng đáy cầu thận và phế nang phổi. Những kháng thể này sẽ kích hoạt hệ miễn dịch và gây ra tổn thương ở thận và phổi. Những bệnh nhân mắc bệnh này thường mắc phải cùng một lúc 3 vấn đề như sau: viêm cầu thận, xuất huyết phổi, và xuất hiện kháng thể kháng kháng nguyên bề mặt đáy cầu thận. Khoảng 60% đến 75% bệnh nhân viêm cầu thận do miễn dịch sẽ phát triển những biến chứng phổi.

Khi nào bạn nên thực hiện xét nghiệm tìm kháng thể kháng màng đáy cầu thận?

Xét nghiệm anti-GBM sẽ được chỉ định khi bác sĩ nghi ngờ bạn có dấu hiệu và triệu chứng của hội chứng Goodpasture, viêm thận do lupus ban đỏ. Sau đây là những triệu chứng của hai bệnh trên:

Sụt cân; Sốt kèm lạnh run; Ho ra máu; Buồn nôn và nôn; Đau ngực; Thiếu máu do bị chảy máu từ phổi và thận; Phổi bị suy yếu (suy hô hấp); Thận bị suy yếu (suy thận).

2. Điều cần thận trọng

Bạn nên biết những gì trước khi thực hiện xét nghiệm tìm kháng thể kháng màng đáy cầu thận?

Bác sĩ có thể yêu cầu thực hiện sinh thiết phổi hoặc thận để quan sát các kháng thể này bằng kĩ thuật hoá mô miễn dịch. Xét nghiệm huyết thanh nhanh hơn và đáng tin cậy hơn khi chẩn đoán hội chứng Goodpasture, đặc biệt khi khó thực hiện sinh thiết trên bệnh nhân hoặc chống chỉ định với các bệnh nhân này. Đặc biệt, lượng kháng thể huyết thanh giúp theo dõi đáp ứng của bệnh nhân với điều trị có tốt không.

Trước khi tiến hành xét nghiệm, bạn nên hiểu rõ các cảnh báo và lưu ý. Nếu bạn có bất cứ câu hỏi nào, hãy tham khảo ý kiến bác sĩ để có thêm thông tin và hướng dẫn cụ thể.

3. Quy trình thực hiện

Bạn nên chuẩn bị gì trước khi thực hiện xét nghiệm tìm kháng thể kháng màng đáy cầu thận?

Bạn nên lắng nghe bác sĩ giải thích và hướng dẫn về xét nghiệm. Bạn sẽ được bác sĩ yêu cầu nhịn ăn trong 8 tiếng trước khi xét nghiệm. Bạn được phép uống nước trong thời gian này.

Nếu bạn phải thực hiện sinh thiết phổi hoặc sinh thiết thận để lấy mẫu mô, bạn nên lắng nghe bác sĩ giải thích về thủ thuật này.

Ngày đi làm xét nghiệm, bạn nên mặc áo ngắn tay để điều dưỡng có thể dễ dàng lấy máu từ cánh tay của bạn

Quy trình thực hiện xét nghiệm tìm kháng thể kháng màng đáy cầu thận như thế nào?

Chuyên viên y tế lấy máu sẽ:

Quấn một dải băng quanh tay để ngưng máu lưu thông. Sát trùng chỗ tiêm bằng cồn. Tiêm kim vào tĩnh mạch. Có thể tiêm nhiều hơn 1 lần nếu cần thiết. Gắn một cái ống để máu chảy ra. Tháo dải băng quanh tay sau khi lấy đủ máu. Thoa miếng gạc băng hay bông gòn lên chỗ vừa tiêm. Dán băng cá nhân lên chỗ vừa tiêm.

Bạn nên làm gì sau khi thực hiện xét nghiệm tìm kháng thể kháng màng đáy cầu thận?

Bác sĩ, điều dưỡng hoặc y tá sẽ thực hiện lấy máu nhằm xét nghiệm. Mức độ đau của bạn phụ thuộc vào kỹ năng lấy máu của điều dưỡng, tình trạng tĩnh mạch của bạn và mức độ nhạy cảm của bạn với cơn đau.

Sau khi lấy máu, bạn cần băng và ép nhẹ lên vùng chọc kim để cầm máu. Bạn có thể trở lại hoạt động bình thường sau xét nghiệm.

Nếu bạn có bất cứ câu hỏi nào, hãy tham khảo ý kiến bác sĩ để được tư vấn và giải đáp.

4. Hướng dẫn đọc kết quả

Kết quả của bạn có ý nghĩa gì?

Kết quả bình thường :

Tế bào mô của phổi hoặc thận:

Âm tính: không có vết miễn dịch huỳnh quang (IF) nào được phát hiện trên tế bào màng đáy của thận và phổi.

Máu: bằng phương pháp xét nghiệm miễn dịch enzyme (EIA)

Âm tính: <20 đơn vị;

Bất định (Borderline): 20-100 đơn vị.

Kết quả bất thường:

Dương tính: máu (EIA)>100 đơn vị. Điều này cho thấy bạn có thể đã mắc:

Hội chứng Good pasture; Bệnh viêm cầu thận tự miễn; Viêm thận do lupus ban đỏ.

Khoảng giá trị bình thường của kỹ thuật y tế này có thể không thống nhất tùy thuộc vào cơ sở thực hiện xét nghiệm mà bạn chọn. Hãy tham khảo ý kiến của bác sĩ nếu bạn có bất cứ câu hỏi nào về kết quả xét nghiệm.

Nếu bạn có bất kỳ triệu chứng  nào, hãy tham khảo ý kiến bác sĩ để được tư vấn phương pháp hỗ trợ điều trị tốt nhất.

Ngày:10/08/2020 Chia sẻ bởi:Denni

CÓ THỂ BẠN QUAN TÂM