Hội chứng Von Hippel-Lindau - Triệu chứng, nguyên nhân và cách điều trị
Hội chứng Von Hippel-Lindau (VHL) là một tình trạng di truyền liên quan đến các khối u xuất hiện trong nhiều cơ quan. Vậy nguyên nhân và triệu chứng của bệnh là gì? Làm thế nào để điều trị hiệu quả? Tham khảo ngay bài viết dưới đây để hiểu rõ hơn.
Mục lục nội dung
1. Tìm hiểu chung
Hội chứng Von Hippel-Lindau là gì?
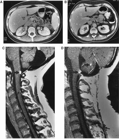
Hội chứng Von Hippel-Lindau (VHL) là một tình trạng di truyền liên quan đến các khối u xuất hiện trong nhiều cơ quan. Các khối u trong hội chứng này bao gồm u nguyên bào mạch máu (hemangioblastomas). Đây là các khối u mạch máu ở não, tủy sống và mắt.
Các khối u mắt cũng được gọi là u máu võng mạc.
Những người bị hội chứng Von Hippel-Lindau (VHL) cũng tăng nguy cơ phát triển ung thư tế bào thận, u tủy thượng thận và u thần kinh nội tiết tụy.
Các đặc điểm khác của hội chứng này bao gồm: u nang thận, nang tụy, u nang mào tinh hoàn và khối u túi cùng nội bạch huyết.
2. Triệu chứng
Những dấu hiệu và triệu chứng Von Hippel-Lindau là gì?
Hội chứng Von Hippel-Lindau (VHL) được đặc trưng bởi sự gia tăng nguy cơ phát triển các khối u được liệt kê dưới đây:
- Khối u nguyên bào mạch máu (lành tính) ở não và cột sống;
- U máu võng mạc;
- U tủy thượng thận trong hoặc ngoài tuyến thượng thận;
- Ung thư biểu mô tế bào thận (khối u ung thư thận).
Trong các trường hợp hiếm, một số người phát triển khối u túi cùng nội bạch huyết (khối u tai có thể gây điếc nếu không được phát hiện), khối u tụy và u nang mào tinh hoàn hoặc dây chằng rộng. Các biểu hiện khác bao gồm u nang (túi chất lỏng) thận và tuyến tụy.
3. Nguyên nhân
Nguyên nhân gây hội chứng Von Hippel-Lindau (VHL) là gì?
Hội chứng Von Hippel-Lindau (VHL) là một rối loạn di truyền, nghĩa là nguy cơ phát triển bệnh và các đặc trưng khác của bệnh sẽ được truyền từ thế hệ này sang thế hệ khác.
Gene liên quan đến hội chứng này là gene VHL. Một sự đột biến trong gene VHL sẽ làm một người tăng nguy cơ phát triển ung thư thận và các triệu chứng khác của hội chứng Von Hippel-Lindau. Hầu như người mắc hội chứng này đều có đột biến gene VHL có thể nhận thấy rõ ràng.
Theo ước tính, cứ 30.000 người sẽ có một người mắc hội chứng Von Hippel-Lindau. Khoảng 20% trường hợp không có tiền sử gia đình mắc bệnh này. Trường hợp này được gọi là đột biến “De novo”.
4. Chẩn đoán và điều trị
Những thông tin được cung cấp không thể thay thế cho lời khuyên của các chuyên viên y tế. Hãy luôn tham khảo ý kiến bác sĩ.
Những kỹ thuật y tế nào giúp chẩn đoán hội chứng Von Hippel-Lindau?
Bác sĩ có thể nghi ngờ bạn mắc hội chứng này nếu:
- Bạn có nhiều u nguyên bào mạch máu ở não, tủy sống hoặc mắt ;
- Bạn có một u nguyên bào mạch máu và ung thư tế bào thận, u nang tuyến tụy, u tủy thượng thận, khối u túi cùng nội bạch huyết hoặc u nang mào tinh hoàn.
Ở những người trẻ, bác sĩ có thể chẩn đoán hội chứng Von Hippel-Lindau nếu người bệnh có triệu chứng rõ ràng của ung thư biểu mô tế bào thận hai bên.
Ngoài ra, nếu bạn có bệnh sử gia đình mắc hội chứng này, bác sĩ cũng nghi ngờ bạn có khả năng cao mắc bệnh. Họ có thể cũng yêu cầu làm xét nghiệm để kiểm tra các gene VHL có đột biến không.
Ở những người mắc hội chứng Von Hippel-Lindau, khoảng 40% trường hợp phát triển ung thư thận.
Những phương pháp nào giúp điều trị ung thư thận liên quan đến hội chứng Von Hippel-Lindau?
Nhìn chung, các phương pháp điều trị ung thư thận sẽ tương tự nhau cho dù người bệnh có mắc hội chứng Von Hippel-Lindau không. Tuy nhiên, trong phần lớn trường hợp, bác sĩ sẽ đề nghị phẫu thuật cho người mắc bệnh ung thư thận kèm Von Hippel-Lindau nếu kích thước khối u là 3cm.
Một phần quan trọng của việc phẫu thuật là bảo tồn chức năng thận với mục đích ngăn và trì hoãn quá trình lọc máu. Ngoài ra, trong quá trình phẫu thuật, bác sĩ sẽ cố gắng loại bỏ các khối u thận và giữ lại càng nhiều thận càng tốt.
Tương tự, bác sĩ cũng đề nghị phẫu thuật cho các khối u ở các cơ quan khác nếu chúng đạt đến kích thước nhất định hoặc gây ra các triệu chứng.
5. Tầm soát
Những biện pháp nào giúp tầm soát Von Hippel-Lindau?
Một số biện pháp tầm soát giúp bạn phát hiện sớm hội chứng này như:
- Kiểm tra mắt định kỳ để tầm soát u mạch võng mạc;
- Kiểm tra sức khỏe định kì;
- Xét nghiệm máu hàng năm hoặc xét nghiệm nước tiểu 24 giờ để sàng lọc catecholamine tăng cao;
- Siêu âm bụng định kỳ để kiểm tra thận, tuyến tụy và tuyến thượng thận ở trẻ. Ở người trưởng thành, bác sĩ sẽ đề nghị thay đổi phương pháp tầm soát sang chụp cắt lớp vi tính bụng (CT hoặc CAT) hoặc MRI;
- Chụp cộng hưởng từ (MRI) của não và cột sống cứ mỗi 2 năm;
- Đánh giá thính giác định kỳ.
Tùy thuộc vào tốc độ tăng trưởng của khối u hoặc sự hiện diện của các triệu chứng, thời gian giữa các tầm soát có thể được bác sĩ điều chỉnh.
Hy vọng với một số thông tin trên đây về hội chứng Von Hippel-Lindau, sẽ hữu ích cho các bạn trong quá trình tìm hiểu và điều trị bệnh. Chúc các bạn sức khỏe!
